Лечение переломов костей остеосинтезом в ветцентре Воронцова
Виды переломов
К большому сожалению, иногда владельцам приходится сталкиваться с проблемой переломов костей своего любимого питомца, что ставит их в затруднительное положение при отсутствии элементарного представления о патологии. Если ваш питомец получил перелом — приходите к нам в ветцентр. Наши врачи помогут вашему животному вернуться к полноценной жизни.
Переломы у кошек и собак могут встречаться в любом возрасте, но в основном характерны для молодых животных, не достигших возраста 10 месяцев и пожилых от 8-ми лет и старше.
Переломы делят на:
- травматические — связаны с травматическими факторами
- патологические — связаны с патологическими, которые включают в себя нарушение обмена веществ, хроническое воспаление или опухоли костной ткани.
Перелом бывает закрытый и открытый.
- закрытый перелом — без нарушения целостности кожного покрова
- открытый — с нарушением целостности кожи, мягких тканей и выходом кости из раны. 
Правильная и быстрая диагностика переломов у кошек и собак является залогом последующего успешного лечения.
Нарушение опороспособности, изменение контуров, боли и неестественная подвижность, могут указывать на возможный перелом конечности у животного.
По локализации перелом может быть:
- диафизарным (проксимальная, средняя, дистальная треть),
- метафизарным (околосуставной),
- эпифизарным (внутрисуставной),
- эпифизеолиз (зоны роста у молодых животных).
По характеру перелом делится на: поперечный, продольный, косой, винтообразный, оскольчатый, множественный, компрессионный, вколоченный, отрывной, зависят от сил механического воздействия на кость.
Необходимо помнить, что любой вид перелома у кошек и собак может привести в случае неправильного подхода в лечении к инвалидности животного.
Диагностика переломов
Рентгенологические методы исследования являются основным методом диагностики и процесса последующего лечения. Перерыв целостности костной структуры и контура кости, являются основными признаками перелома на рентгеновском снимке. Проводить рентгенографическое исследование необходимо в двух взаимно перпендикулярных проекциях с захватом смежного сустава для полноценной оценки и прогноза.
 Перерыв целостности костной структуры и контура кости, являются основными признаками перелома на рентгеновском снимке. Проводить рентгенографическое исследование необходимо в двух взаимно перпендикулярных проекциях с захватом смежного сустава для полноценной оценки и прогноза.
Остеосинтез
Существуют консервативные и хирургические методы лечения переломов у животных. В большинстве случаев у человека ориентируются на консервативный тип лечения с использованием гипсов, лонгет и вытяжных конструкций.
Образ жизни животного и анатомия заставляет нас при лечении переломов у животных обеспечивать им раннее движение, что достигается проведением хирургического вмешательства (остеосинтез). Остеосинтез у собак позволяет совершенно иначе подходить не только к лечению переломов, но и проводить коррекции деформаций, уродств и осложнений консервативного и хирургического лечения.
На сегодняшний день современный ветеринарный специалист практически забыл о гипсовой повязке. Использование методов остеосинтеза обеспечивают условия оптимального существования кошек и собак с переломами костей и позволяют адекватно и быстро реабилитироваться.
Понятие “остеосинтез” происходит от греческих слов osteon (кость) и synthesis (соединение) и предполагает соединение костных обломков и устранение их подвижности с помощью фиксирующих приспособлений.
Виды остеосинтеза
Много лет при лечении переломов костей используются классические методики, которые включают в себя погружной и наружный остеосинтез.
Погружной остеосинтез представляет собой метод, который предполагает использование стабилизирующих систем внутри тканей организма и располагаются конструкции в зоне перелома. Погружной остеосинтез в зависимости от расположения фиксатора по отношению к кости бывает внутрикостным (интрамедуллярным), накостным и чрескостным.
Наружный остеосинтез предполагает использование стабилизирующих систем вне зоны перелома кости (аппараты внешней фиксации).
Существуют комбинированные методы, которые включают сочетание двух и более методов (внутрикостно-накостный, чрезкостно-накостный или внутрикостно-чрезкостный).
Интрамедуллярный остеосинтез штифтами и спицами у кошек и собак (фото 1б, 1в)
Фото 1б. Рентгенограмма. Косой перелом большеберцовой кости со смещением у собаки. Остеосинтез штифтом (до операции и после).
Фото 1в. Рентгенограмма. Косой перелом бедренной кости со смещением у собаки. Остеосинтез штифтом (до операции и после).
Остеосинтез накостными пластинами у кошек и собак
Фото 2а. Рентгенограмма. Спиральный перелом плечевой кости со смещением у собаки. Остеосинтез накостной пластиной (до операции и после)
Методы внешней фиксации (внеочаговый остеосинтез) у кошек и собак
Фото 3а. Рентгенограмма. Сложный осколочный перелом голени у кошки. Внеочаговый остеосинтез аппаратом Илизарова (до и после операции).
 Рентгенограмма. Сложный осколочный перелом голени у кошки. Внеочаговый остеосинтез аппаратом Илизарова (до и после операции).
Фото 3б. Рентгенограмма. Сложный осколочный перелом голени у собаки. Внеочаговый остеосинтез аппаратом Илизарова (до и после операции).
Фото 3в. Рентгенограмма. Сложный осколочный перелом голени у кошки. Внеочаговый остеосинтез аппаратом Илизарова (до и после операции).
Фото 3г. Рентгенограмма. Перелом костей плюсны у собаки. Внеочаговый остеосинтез аппаратом Илизарова (до и после операции).
Фото 3д. Рентгенограмма. Сложный фрагментарный перелом голени у собаки. Внеочаговый остеосинтез аппаратом Илизарова (до и после операции).
Фото 3е. Рентгенограмма. Сложный осколочный перелом тел нижней челюсти у собаки. Внеочаговый остеосинтез модернизированным аппаратом с винтами Штеймана (до и после операции)
Сочетание различных методов остеосинтеза у кошек и собак
Фото 4а. Рентгенограмма. Поперечные переломы со смещением лучевой и локтевой костей левой и правой конечности. Остеосинтез накостной пластиной и аппаратом Илизарова (до и после операции)
 Рентгенограмма. Поперечные переломы со смещением лучевой и локтевой костей левой и правой конечности. Остеосинтез накостной пластиной и аппаратом Илизарова (до и после операции)
Фото 4б. Рентгенограмма. Сочетанный перелом лучевой и локтевой костей со смещением и эпифизеолиз дистального метаэпифиза у собаки. Остеосинтез накостной пластиной и диафиксация спицами Киршнера
Фото 4в. Рентгенограмма. Перелом таза со смещением у собаки. Остеосинтез накостной пластиной и спицей Киршнера (до и после операции).
Фото 4г. Рентгенограмма. Перелом таза со смещением у кошки.Остеосинтез накостной пластиной и спицей Киршнера (до и после операции).
Около и внутрисуставные переломы у кошек и собак
Фото 5а. Рентгенограмма. Эпифизеолиз дистального метаэпифиза со смещением у собаки. Остеосинтез (диафиксация) спицами Киршнера (до и после операции)
Фото 5б. Рентгенограмма. Внутрисуставной переломо-вывих плюсне-заплюсневого сустава у собаки. Остеосинтез накостной пластиной и спицей Киршнера (до и после операции)
 Остеосинтез накостной пластиной и спицей Киршнера (до и после операции)
Фото 5в. Рентгенограмма. Эпифизеолиз дистального метаэпифиза со смещением у собаки. Остеосинтез (диафиксация) спицами Киршнера и серкляжной петлёй (до и после операции)
Фото 5г. Рентгенограмма. Внутрисуставной перелом со смещением латерального мыщелка у собаки. Остеосинтез шурупом и спицей Киршнера (до и после операции).
Фото 5е. Рентгенограмма. Внутрисуставной перелом запястно-пястного сустава у собаки со смещением. Внеочаговый остеосинтез аппаратом Илизарова (до и после операции)
Артродез у собак
Фото 6а, б, в, г. Артродез с использованием накостной пластины, шурупов, спиц Киршнера и аппарата Илизарова.
Реконструктивные методы остеосинтеза у кошек и собак
Фото 7а. Рентгенограмма. Дистракционный метод растяжение-напряжением без остеотомии при “недокусе” у собаки. Срок дистрации 54 дня.
 Рентгенограмма. Дистракционный метод растяжение-напряжением без остеотомии при “недокусе” у собаки. Срок дистрации 54 дня.
Фото 7б. Рентгенограмма. Варизирующая остеотомия при вальгусной деформации предплечья у собаки. Фиксация в аппарате Илизарова.
Осложнения остеосинтеза и методы коррекции (ложный сустав)
Фото 8а. Рентгенограмма. Гипертрофический псевдоартроз после остеосинтеза у собаки. Остеотомия и фиксация в аппарате Илизарова.
Фото 8б. Рентгенограмма. Атрофический псевдоартроз после остеосинтеза у кошки. Остеотомия, трансплантация губчатой аутокости и фиксация в аппарате Илизарова.
Фото 8в. Рентгенограмма. Гипертрофический псевдоартроз после остеосинтеза у собаки. Остеотомия и фиксация в аппарате Илизарова.
Некоторые виды заживления сложных переломов у кошек и собак
Фото 9а. Рентгенограмма. Сложный осколочный перелом диафиза большеберцовой кости у собаки. Остеосинтез в аппарате Илизарова.
Фото 9б, в. Рентгенограмма. Вид кости через 60 дней и через 3 года после остеосинтеза.
Фото 10. Рентгенограмма. Открытый застарелый перелом большеберцовой кости с признаками остеомиелита у кошки. Остеосинтез в аппарате Илизарова. Вид кости через 80 дней после остеосинтеза.
Фото 11. Рентгенограмма. Сложный фрагментированный перелом плечевой кости у собаки. Остеосинтез накостной пластиной. Вид кости через 1 год после остеосинтеза.
Фото 12. Рентгенограмма. Внутрисуставной переломо-вывих плюсне-заплюсневого сустава у собаки. Остеосинтез (артродез) накостной пластиной и спицей Киршнера. Вид кости через 120 дней после остеосинтеза.
Фото 13. Рентгенограмма. Внутрисуставной перелом запястно-пястного сустава у собаки со смещением. Внеочаговый остеосинтез аппаратом Илизарова. Вид кости через 80 дней после остеосинтеза.
Фото 14. Рентгенограмма. Сложный осколочный перелом диафиза большеберцовой кости у собаки. Остеосинтез в аппарате Илизарова. Вид кости через 80 дней после остеосинтеза.
 Остеосинтез в аппарате Илизарова. Вид кости через 80 дней после остеосинтеза.
Цена на остеосинтез собаке или коту зависит от метода лечения и сложности перелома.
терапия традиционными и народными методами, диагностическое обследование, выполнение врачебных рекомендаций и восстановление
Стопа имеет очень сложное строение, и, несмотря на ее сравнительно небольшую величину, патологии любого рода в этой зоне влекут нарушение функционирования всей нижней конечности. Плюсневые кости — не исключение.
Анатомия стопы
В состав нее входит 26 костей, и она подразделена на 3 части: предплюсна, плюсна и фаланги пальцев.
К костям предплюсны относятся 3 клиновидные, пяточная, ладьевидная, кубовидная, таранная (является частью голеностопа) кости. Все они посредники перехода голеностопа в ступню.
Костей плюсны 5 — первая плюсневая кость стопы, затем вторая, третья и так по счету пальцев. Их основное предназначение – поддержание и создание свода стопы, без чего движение человека было бы невозможным. Это мелкие трубчатые косточки, они очень хрупкие. Между ними имеется пространство.
 Это мелкие трубчатые косточки, они очень хрупкие. Между ними имеется пространство.
Фаланг пальцев 14. Они являются подвижными суставчиками, имеют хрящи. Большой палец имеет 2 фаланги, другие пальцы – 3. Своды стопы функционально очень важны, потому что при движениях ног они выполняют роль амортизатора.
Причины болей
Если болят плюсневые кости стопы, причины и лечение всегда взаимосвязаны настолько, что можно говорить об этиопатогенетической терапии. Боли связаны со многими заболеваниями. Они различаются по своему характеру, длительности, распространенности. Могут быть одно- или двусторонними, кратковременными и постоянными, в виде жжения, парестезий и пр.
Наиболее распространены следующие патологии:
- Воспаление подошвенной фасции. Причиной становится постоянное давление на подошвенный апоневроз, поддерживающий свод стопы. Фасция занимает пространство между пяткой и плюсной. Патология характерна при большом весе, плоскостопии, занятиях спортом. Боли в своде и пятке возникают сразу после сна.  
- Артриты. Болит и сам сустав, и стопа. Проявляется это зудом и жжением.
- Лигаментоз – поражение связок стопы, может быть 2-сторонним. Развивается при больших нагрузках на стопу, нарушенном кровообращении и микротравмах связок.
- Пяточные шпоры – появление костного нароста в месте крепления фасции к пяточной кости. При этом почти всегда имеется хронический фасцит. Боль появляется при ходьбе.
- Сбой в кровоснабжении. При этом стопа болит и при ходьбе, и в покое.
- Защемление нервного ответвления между костями стопы или в месте выхода из позвонка. Чаще возникает после родов.
- Доброкачественные невриномы. Боли возникают между 3-м и 4-м пальцем. Они могут быть в виде покалывания, жжения, боли, чаще с 1 стороны. При ношении узкой обуви боль усиливается.
- Переломы, вывихи.
- Метаболические нарушения с остеопорозом. Боль усиливается при нажатии на кости.
- Функциональная недостаточность стоп – это проблема толстяков, беременных, гиподинамии и больших нагрузок на ноги. После длительного стояния в ступнях появляются разлитые боли. После длительного стояния в ступнях появляются разлитые боли.
- Плоскостопие – имеется распластывание свода, меняется форма ступни. Голени и стопы быстро утомляются и сильно болят.
- Патологические нарушения – бородавки, вросший ноготь, искривление большого пальца. Являются результатом неудобной обуви.
- Возрастные изменения стоп – жировая ткань на стопах с возрастом уменьшается, происходит деформация плюсны, нарушения кровообращения и остеопорозы. Роль играет интенсивная нагрузка на стопы.
Симптомы и лечение наиболее частых патологий
Часть плюсневых костей образует подвижные суставы с пальцевыми фалангами. Как и в других суставах, здесь имеется суставной хрящ и суставная сумка. При ушибе или падении головки могут сместиться, и возникает мучительная боль в месте повреждения. Подвижность сустава резко нарушена, наступить на ступню и пошевелить пальцами ног невозможно.
Сустав становится отечным, увеличивается в размере, кожа над ним краснеет. Головка сама может деформироваться с появлением на ней наростов.
 Головка сама может деформироваться с появлением на ней наростов.
Лечение ушиба плюсневой кости стопы определяется картиной рентгена. Чаще возникает необходимость хирургического вмешательства. И хотя проводится оно с местной анестезией, это радикальный вид терапии.
Лечение плюсневых костей стопы выражается тогда в возвращении головки кости в анатомически правильное положение и фиксировании ее металлической спицей.
Костные наросты удаляют. Обувь после такого вмешательства подойдет только ортопедическая для поддержания костей стопы.
Плоскостопие развивается по разным причинам:
- аномалии строения стопы с рождения;
- ношение узкой обуви или высокий каблук;
- ожирение;
- повышение нагрузки при тренировках;
- травмы ног со слабостью мышц.
Лечение чаще всего консервативное. Пациент выполняет специальные упражнения для тренировки свода, постоянно использует ортопедические стельки. Полезно хождение босиком по песку или гальке и плавание. 
 
Убрать плоскостопие полностью возможно только у детей, пока кости растут. Взрослым остается только следить, чтобы патология не прогрессировала. Плоскостопие может стать причиной вальгусного большого пальца, который боль усиливает.
Патологии суставов
Артрит — воспаление сустава, артроз — дегенеративные изменения хряща. Лечение артроза плюсневых костей стопы включает в себя и прием хондропротекторов. Они подпитывают остатки хряща. Воспаленный сустав также отекает, увеличивается, становится горячим на ощупь, болит при ходьбе.
Для артроза характерен хруст при движениях. В процесс воспаления вовлекаются окружающие ткани, связки, мышцы. Это называется периартритом и периартрозом. Если артрит полностью излечим, то при артрозе этого нет, процесс можно только затормозить. Тогда применимо только симптоматическое лечение плюсневых костей стопы.
Для терапии травм применяют специальные фиксирующие повязки. Также для лечения важна первопричина. Если речь идет об инфекции, назначается антибактериальная терапия. В других случаях можно обойтись местным лечением в виде мазей и гелей и пр. Для снятия боли назначают анальгетики. Лечение воспаления плюсневой кости стопы по схеме назначается только врачом.
 В других случаях можно обойтись местным лечением в виде мазей и гелей и пр. Для снятия боли назначают анальгетики. Лечение воспаления плюсневой кости стопы по схеме назначается только врачом.
Нервные нарушения
Нарушение проводимости нервных импульсов с появлением боли могут возникать в следующих случаях:
- защемление нерва между костями плюсны;
- защемление нерва на уровне позвонков;
- воспаление нервной ткани при переохлаждениях, ношении узкой обуви;
- невринома между фалангами пальцев.
В качестве лечения будут назначаться сеансы массажа, физиотерапии, одежда по сезону и удобная обувь. При воспалении можно применить мази и гели, согревающие и противовоспалительные.
Лечение плюсневых костей стопы может заключаться в мануальной терапии, если защемление находится в позвоночнике и сопровождается смещением позвонков. Целью становится возврат позвонков на место.
Метаболические нарушения в костях
Они связаны с дефицитом витаминов, Са, цинка, фосфора и пр. Чаще всего возникает остеопороз. При этом кости становятся хрупкими и подвержены переломам. Патология обычно симметрична и сначала поражает мелкие кости.
 Чаще всего возникает остеопороз. При этом кости становятся хрупкими и подвержены переломам. Патология обычно симметрична и сначала поражает мелкие кости.
Боли появляются при нагрузках и в конце дня. Визуально стопа не изменяется, но все нарушения видны на рентгене.
Для лечения необходим прием препаратов Са и витаминов с минералами, правильное питание. Не менее важна и высота каблука, которая не должна превышать 4-5 см.
Лечение плюсневых костей стопы направлено на предотвращение разрушения костей в дальнейшем. Таким больным нельзя заниматься спортом и иметь серьезные нагрузки. Также следует нормализовать вес.
Болезни сосудов
Чаще всего боли связаны с варикозом. При нем нарушается отток крови от ступней. Целью лечения становится восстановление тонуса вен, укрепление стенок сосудов, распределение нагрузок на ноги.
Лекарства могут применяться местно и перорально. Используют препараты для улучшения микроциркуляции, флеботоники, витамины, антиагреганты и пр. Вообще надо сказать, что различны причины болей плюсневых костей стопы ног, а лечение может быть консервативным и радикальным.
 Вообще надо сказать, что различны причины болей плюсневых костей стопы ног, а лечение может быть консервативным и радикальным.
Диагностика
Визуальный осмотр не может дать достаточно информации для постановки диагноза. Назначается рентгенография в 2 проекциях. Это основной метод диагностики.
Также применяется УЗИ, при необходимости МРТ или КТ. Сложность диагностики в том, что пациенты чаще всего приходят с запущенными формами патологий, потому что, например, при переломах мелких костей многие к врачам не идут и продолжают ходить с переломами.
Общие принципы лечения
Лечение болей плюсневых костей стопы всегда и во всех отношениях индивидуально. Начинается все с консервативного лечения, к операциям стараются прибегать редко.
Необходимое лечение боли плюсневых костей стопы врач назначает только после определения причины. Терапия начинается с ограничения нагрузок на стопу. Воспаление потребует применения противовоспалительных средств, переломы – наложения гипса, вывихи – эластичной повязки. 
 
Метаболические нарушения лечатся гормонами, витаминно-минеральными комплексами, ангиопротекторами, хондропротекторами и пр. Плоскостопие подразумевает ношение специальных стелек и обуви. Вне обострения заболеваний обязательными становятся ЛФК, массаж, физиотерапия.
Нарушения кровообращения, невриномы, вросший ноготь требуют радикального хирургического лечения.
Переломы подробно
Плюсневые кости трубчатые и мелкие, поэтому именно они подвержены переломам. И это не зависит от возраста, пола и профессии. Переломы плюсны встречаются в 5 % случаев всех переломов, и в 20 % переломов ног. Симптомы при этом настолько разные, что многие не догадываются о переломе. Обращение к врачу при этом необходимо.
Статистика переломов плюсны
Наиболее часто ломаются 4-й и 5-й кости плюсны. Они ломаются чаще. Перелом наружной 5-й кости часто бывает осложнен смещением. Период реабилитации при таком переломе наиболее длительный.
Менее частым является перелом 1-й кости. Реже всех страдают 2-я и 3-я кость. Они находятся в середине и защищены лучше.
 Реже всех страдают 2-я и 3-я кость. Они находятся в середине и защищены лучше.
2-я, 3-я и 4-я плюсневые кости страдают при прямом направлении удара (падение на стопу тяжелого предмета или ДТП). При непрямом ударе повреждаются 1-я и 5-я кости. Усталостный перелом возникает в 4-й кости.
Причины переломов
Основными причинами переломов являются:
- удар по стопе;
- подворачивание стопы;
- падение тяжести на ногу;
- неудачное приземление после падения или прыжка;
- мелкие однообразные повторяющиеся травмы (например, танцы, спорт).
А также заболевания костной системы.
Классификация переломов
По линии надломов переломы могут быть: поперечными, Т-образными, косыми, винтообразными и клиновидными. Переломы бывают со смещением обломков и без.
Виды перелома
По характеру повреждения перелом бывает травматический и усталостный (стрессовый перелом). Травматический возникает при прямом ударе, падении с высоты, наезде на стопу, подвывихе. 
Усталостный перелом возникает при повторных ушибах и постоянных нагрузках. Его еще называют перелом Дойчелендера или маршевый.
Диагностируется чаще всего у призывников, т. к. у них резко увеличивается нагрузка на стопу. Также в группу риска с таким переломом входят балерины, танцоры, атлеты, гимнасты, футболисты. Стрессовые переломы обычно не имеют ярких проявлений и часто игнорируются, поэтому приводят к осложнениям. Они выражаются в смещении кости и травмировании соседних костей.
Другие виды переломов по анатомическому принципу
При переломе Джонса кости травмируются у основания 5-й плюсневой кости. Перелом этот всегда множественный осколочный, и после него кости не срастаются. Лечение перелома пятой плюсневой кости стопы будет успешным только в случае точного диагноза, который довольно сложен.
При отрывном переломе стопы костный отломок кости отсоединяется при сильном натяжении сухожилий. Диагностировать патологию также сложно, потому что все симптомы напоминают растяжение связок. Сочетается часто с переломом голеностопа.
 Сочетается часто с переломом голеностопа.
При авульсивном переломе линия слома поперечная, без смещения. При этом у основания 5-й плюсневой кости параллельно возникает растяжение сухожилий голеностопа.
При субкапитальном переломе травмируется шейка плюсневых костей.
Также переломы бывают открытые и закрытые.
Симптомы и признаки
В момент получения травмы можно услышать характерный хруст и ощутить сильную боль. Поврежденный палец может стать укороченным, неестественно отклониться в сторону, а на месте перелома быстро возникают отек и гематома. Движение становится невозможным.
Первая помощь
Сразу обязательна иммобилизация стопы с помощью шин или других подручных средств. Фиксация производится по всей стопе до верхней трети голеностопа. Поврежденная нога должна быть слегка приподнята. Это значительно снижает риск острой боли и упрощает транспортировку пострадавшего.
К месту повреждения можно приложить на 20 минут лед, который уменьшит боль и не даст быстро развиться отеку. 
 
Повторить прикладывание льда можно через 10 минут. При наличии ран необходимо наложить асептическую повязку.
При смещении костных обломков или открытом переломе самим вправлять перелом нельзя. Это делает только врач после проведения рентгена.
Для купирования боли можно выпить «Пенталгин», «Анальгин». Транспортировка только в горизонтальном положении на носилках.
Принципы лечения
Общая схема лечения:
- иммобилизация стопы с наложением гипса;
- закрытая репозиция (без разреза тканей сопоставляются фрагменты кости).
Остеосинтез проводится при множественных оскольчатых переломах и больших смещениях. Это операция, в ходе которой обломки восстанавливают по их анатомическому размещению. Костные обломки фиксируются специальными пластинами, спицами или винтами. И только после синтеза накладывают гипс.
Гипс
Лечение перелома 5-й плюсневой кости стопы требует наложения гипсового сапожка. Его используют в большинстве переломов стопы. При переломе 5-й плюсневой кости в гипсе ходят 1,5 месяца.
 При переломе 5-й плюсневой кости в гипсе ходят 1,5 месяца.
Ортез
Ортез применяется при легких единичных травмах. Он стабилизирует стопу и уменьшает нагрузку на нее.
Сколько заживает перелом
В среднем на это уходит 6-8 недель. Скорость сращивания зависит от возраста, уровня кальция в крови, наличия сопутствующих заболеваний и точности выполнения предписаний врача.
Операция
Оперативное лечение перелома пятой плюсневой кости стопы требуется только при сильном смещении 3-й и 4-й плюсневых костей. Чаще это бывает при переломе головки кости.
Реабилитация и восстановление
Для разгрузки стопы требуется использование костылей вплоть до полного срастания перелома. Реабилитация ставит своей целью восстановление работы мышц и сухожилий стопы, нормализацию подвижности суставов. Проводится под наблюдением ортопеда.
В примерный комплекс реабилитации входит:
- Физиотерапия – стимулирует рост и заживление костной ткани.
- Лечебная гимнастика и ЛФК показаны уже через месяц после травмы. Процедуры укрепляют мышцы, увеличивают подвижность суставов. Главные упражнения – сгибание и разгибание пальцев, подъем и опускание на носочки. Процедуры укрепляют мышцы, увеличивают подвижность суставов. Главные упражнения – сгибание и разгибание пальцев, подъем и опускание на носочки.
- Массаж начинают после снятия иммобилизации. Он улучшает кровоснабжение и уменьшает отек, повышает мышечный тонус.
- Ношение супинаторов формирует правильный свод стопы и равномерно распределяют нагрузки. Их надо носить 6-12 месяцев.
Осложнения
При неправильном лечении перелома плюсневой кости стопы или игнорировании реабилитации перелом чреват осложнениями. Среди них:
- артриты и артрозы;
- деформация костей стопы;
- хронические боли в стопе;
- формирование костных шипов;
- некроз и остеомиелит.
При лечении перелома плюсневых костей стопы огромное значение придается правильной реабилитации и восстановлению.
Плюсневая кость — перелом, смещение, строение
Плюсна – часть стопы между предплюсневой костью и фалангами пальцев. Плюсна образована пятью трубчатыми костями. 
 
Строение плюсневой кости
Каждая кость плюсны имеет основание клиновидной формы, тело и головку. Вторая кость плюсны самая длинная, а первая – самая массивная и короткая. Первая плюсневая кость разделяется на две площадки. К обеим площадкам плюсневой кости примыкают сесамовидные кости. Строение костей плюсны сходно со строением пястных костей, однако головки плюсневых костей сдавлены с боков и сужены.
Тело каждой кости плюсны имеет три грани, а между гранями существуют свободные пространства – межкостные промежутки. Своей суставной поверхностью кости плюсны соединяются с костями предплюсны.
У пятой плюсневой кости суставная фасетка расположена только на одной ее стороне (медиальной). Пятая кость плюсны немного бугристая. К бугристой части пятой кости прикрепляется сухожилие короткой малоберцовой мышцы.
Основание первой кости плюсны образует сустав с медиальной клиновидной костью. Основания второй и третьей костей плюсны соединены с латеральной костью и с клиновидными костями. Пятая кость соединена с кубовидной костью.
 Пятая кость соединена с кубовидной костью.
Плюсневые кости образуют с костями предплюсны продольные и поперечные своды, обращенные своей выпуклостью кверху. Плюсневый свод размещается в районе головок костей плюсны, а предплюсневый – в области предплюсневых костей.
Своды стопы выполняют амортизационную функцию при ходьбе и во время статических нагрузок, а также препятствуют повреждению тканей и создают условия для нормального кровотока.
Смещение головки плюсневых костей
Проксимальные фаланги пальцев и головки плюсневых костей образуют плюснефаланговые суставы. Суставная капсула кости состоит из наружного слоя, представленного плотной фиброзной тканью, и внутреннего слоя, образованного синовиальной мембраной.
Смещение головки плюсневых костей приводит к воспалению и дальнейшему повреждению сустава, развитию капсулита и синовита. Увеличенная головка костей плюсны покрывается мозолистой кожей. Боль в области сустава – основной признак смещения головки костей плюсны. 
 
Лечение подбирают с учетом степени деформации головки плюсневых костей. При начальных проявлениях деформации возможно применение ортопедических приспособлений (стелек, межпальцевых прокладок, супинаторов).
Реконструктивный метод оперативного вмешательства позволяют устранить плоскостопие и вальгирование первого пальца. Под местной анестезией проводится фиксация металлическими спицами первой кости плюсны в правильном положении (корригирующая остеотомия), резекция (удаление) деформированной головки кости плюсны («шишки»). После хирургического вмешательства пациенту к ступне прикрепляются супинаторы.
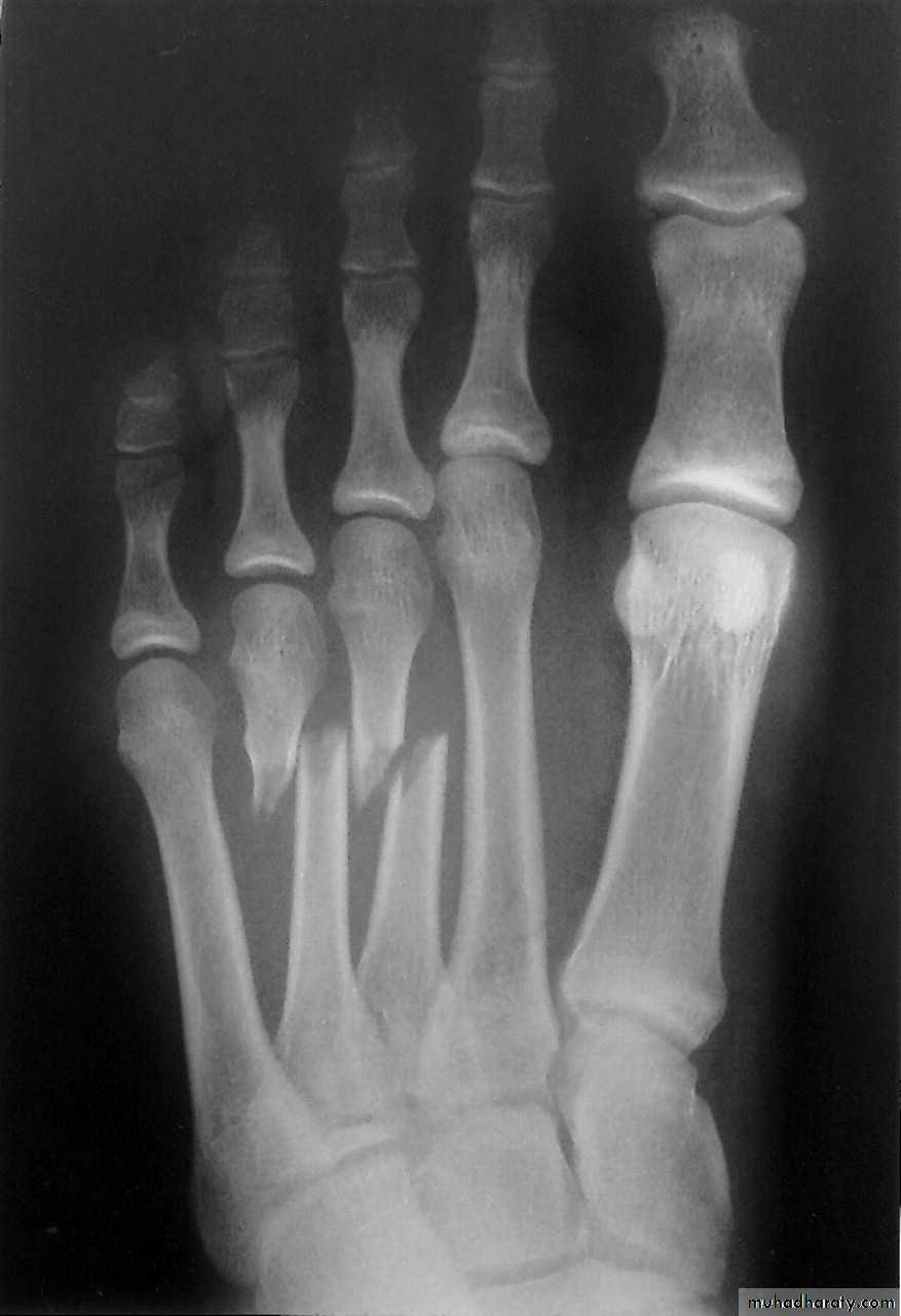
Перелом плюсневой кости
Переломы плюсневой кости бывают травматическими и стрессовыми (усталостными). Травматический перелом (без смещения либо со смещением) может возникать вследствие подвертывания стопы либо прямого удара. При переломе плюсневой кости без смещения отломки костей сохраняют правильное положение. При переломе со смещением происходит нарушение анатомического положения отломков. 
 
Травматический перелом кости плюсны проявляется в характерном хрусте во время травмы, боли в области перелома, укорочении пальца или отклонении его в сторону. В области перелома может появиться кровоподтек или отек.
Перелом Джонса – одна из разновидностей переломов костей плюсны. Данный перелом образуется в основании пятой кости плюсны и характеризуется несращением либо замедленным сращением. Одной из разновидностей переломов плюсневых костей является перелом Джонса. Часто при переломе Джонса ставят ошибочный диагноз растяжения связок.
Усталостный перелом костей плюсны – незаметные трещины, возникающие из-за деформации стопы, остеопороза, патологической структуры кости, длительных повторных нагрузок.
При усталостном переломе плюсневой кости возникает боль после либо во время нагрузки, боль в области перелома при прикосновении, отек.
При отсутствии лечения или же при неправильном лечении перелома костей плюсны могут развиваться осложнения — артроз, деформации, несращение перелома, хронические боли в стопе. 
 
Лечение перелома зависит от его локализации, характера, а также от наличия смещения. Применяют следующие методы лечения перелома костей плюсны:
- Гипсовая иммобилизация — применяется при переломе костей плюсны без смещения;
- Хирургическое вмешательство.
При переломе со смещением сопоставляют отломки кости, а затем фиксируют их имплантатами.
Перелом плюсневой кости стопы со смещением. Сколько заживает перелом пятой плюсневой кости стопы
Считается распространенным переломом костных структур, чаще у детей. Чаще прочего появляется перелом пятой плюсневой кости из-за инверсии положения. Это – распространенный перелом Джонса. Помните, переломы плюсневой кости стопы тщательно исследуются травматологом, способы лечения первой, второй, третьей, четвертой и пятой плюсневых костей кардинально отличаются.
Немедленно после падения проявляются первые симптомы перелома плюсневой кости – отёк и болевые ощущения. Значительность проявления отёка и сила болевого синдрома зависят от количества переломанных костей. Помните, при подобном переломе боль сосредоточена в тыльной стороне ступни. Явными симптомами считаются нарушение формы ступни, неспособность ступить на ногу.
 Помните, при подобном переломе боль сосредоточена в тыльной стороне ступни. Явными симптомами считаются нарушение формы ступни, неспособность ступить на ногу.
Стоит отследить увеличение боли при лёгком постукивании по пальцам ноги. Если при надавливании на основании мизинца болевые ощущения усиливаются – налицо явный симптом перелома. В первые минуты после падения потребуется внимательно осмотреть ступню: синяк способен образоваться на подошве – это важный симптом, требующий внимания. Помните, определить перелом до визита к врачу крайне сложно, проверяйте указанные симптомы дотошно.
Распространенными причинами перелома становятся травмы. К примеру:
- падение;
- подворачивание ноги;
- резкое падение с высоты;
- упавший но стопу объёмный предмет.
Учтите, между костями плюсны множество связок, перелом пятой плюсневой кости признаётся самым опасным. Тогда легко повредить и остальные кости стопы.
Причиной перелома выступает повторение нескольких однообразных маленьких травм стопы. Подобное часто возникает при спортивных и танцевальных упражнениях. Косвенной причиной перелома становится недостаток кальция и избранных групп витаминов. Чтобы вернуть нормальное состояние костей, потребуется дополнительное лечение.
 Подобное часто возникает при спортивных и танцевальных упражнениях. Косвенной причиной перелома становится недостаток кальция и избранных групп витаминов. Чтобы вернуть нормальное состояние костей, потребуется дополнительное лечение.
Меры первой помощи при переломе
Немедленно после нанесения травмы показано ограничить передвижение больного, чтобы не образовался перелом со смещением. Основание стопы остаётся в полностью обездвиженном состоянии. Желательно наложить лед либо холодный продукт – мера уменьшит отёк и нормализует температуру пострадавшей ткани. Голый лёд на ногу прикладывать нельзя: лучше завернуть в полотенце и приложить на 20 мин. Если не учитывать правила, вероятно обморожение. Повторить процедуру через полтора часа. Когда пострадавший спит, нельзя прикладывать лёд к переломанному месту.
После ряда подобных процедур зафиксируйте ногу эластичным бинтом. Бинт потребуется завязывать не чересчур туго, чтобы не вызвать онемение пальцев. Это делается для уменьшения площади объёма и дополнительной фиксации конечности. Вечером разбинтуйте ногу больного. Если пострадавшему потребуется двигаться, делать подобное не стоит.
 Вечером разбинтуйте ногу больного. Если пострадавшему потребуется двигаться, делать подобное не стоит.
Травмированная нога просто нуждается в высоком положении. Если больной лежит, подложите подушку под травмированную конечность. Если пострадавший сидит, положите больную ногу на стул. Действие уменьшит отёк и боль.
Помните, нагревать пострадавшую конечность запрещено. Даже не пытайтесь растирать ногу, делать массаж – мероприятие разогреет ткани больного. Напомните пострадавшему: баня, сауна и горячая ванна запрещены на последующие 7 дней. Строгие меры применяются по причине: тепло усиливает ток крови и расширяет сосуды, приводя к увеличению отечности. Постарайтесь до обследования врача максимально ограничить передвижения пострадавшего. Если сделать все правильно, получится серьёзно облегчить лечение.
Типы переломов плюсневой кости стопы
Как уже в статье говорилось, костей плюсны пять, каждая лечится по-особенному. В отдельных случаях просто наложат гипс, в прочих – потребуется операция. Решает исключительно травматолог.
 Решает исключительно травматолог.
Переломы делятся на усталостные и травматические. Первые происходят непосредственно из-за травматического действия. Бывают со смещением (косточки плюсны находятся в различных плоскостях) либо без него. Травматический перелом случается открытый и закрытый. В разных случаях травматического перелома назначается отличающееся лечение.
Усталостный перелом выглядит на рентгеновском снимке как трещины. Возникает незаметно: во время повторяющихся действий либо микротравм. Особенность перелома: не слышно хруста во время образования трещины.
Помните, чаще у людей возникает стандартный ушиб основания стопы.
Как до визита к врачу определить тип перелома
Несмотря на общие симптомы перелома, описанные выше, определяется тип повреждения по-другому. У усталостного перелома симптомы немногочисленные, но их легко определить.
- Характерным считается тупая или ноющая боль, возникающая исключительно при ходьбе. Давая отдых конечности, ощущений не возникнет.  
- Отёк появится, синяка не заметно.
- При надавливании на внешний край ступни боль чувствуется точечно исключительно в месте перелома.
Симптомы, описанные выше, относятся и к травматическим переломам. Главное отличие упомянутого типа перелома от маршевого – во время отдыха болевой синдром чуть утихнет, но не перестанет.
Если не отмечается симптоматики усталостного либо травматического переломов, вероятно, произошёл ушиб основания костей стопы. Лечение зависит от силы ушиба.
Непосредственно лечение
От значимости и количества повреждений зависят методы лечения. Простым и безболезненным считается лечение простого перелома (без смещений) или трещины. В подобном случае взрослому не наложат гипс, а выпишут больничный и посоветуют ограничить нагрузку на ногу. Деткам подобное объяснить невозможно, внимательные родители вряд ли смогут проследить, детям накладывают гипсовую повязку. Лечение в подобном случае относительно лёгкое и безболезненное.
Потребуется изучить отдельные нюансы ограничения нагрузок на ногу.
Если произошел непосредственно травматический перелом, опирайтесь на костыли либо пятку. При усталостном повреждении частичной точкой опоры становится переломанное место. Медработники советуют купить и вставить в обувь ортопедические стельки. Покупка не помешает и после лечения перелома.
При небольшом смещении плюсневых костей положение фиксируют гипсовыми лангетами. Если произошло большое смещение, травматолог производит операцию. Показанием к операционному вмешательству становится смещение, на половину превосходящее ширину костей. Выделяют два типа операций в подобных случаях (описание приведено в статье).
Распространенным методом в нашей стране считается фиксирование положения спицами через кожу. Вначале хирург-травматолог совмещает обломки кости, потом фиксирует спицами в направлении, зависящем от степени травмы. Неоспоримыми плюсами операции признаны минимальная боль во время операционного вмешательства и небольшая стоимость. Минусом считается обязательное выступание концов спиц, увеличивающее рану. Чтобы не вызвать заражение ранки, требуется забинтовывать сверху ногу ежедневно. Действие неудобно, зато рубец после лечения не остается.
 Чтобы не вызвать заражение ранки, требуется забинтовывать сверху ногу ежедневно. Действие неудобно, зато рубец после лечения не остается.
Вторым типом операции станет репозиция при помощи винтов и пластинки — сложная и дорогостоящая операция. Хирургу требуется сделать разрез в области перелома. Осторожно отодвинуть сухожилия, нервные окончания, кровеносные сосуды и прочее. Потом врач непосредственно устанавливает винты и пластинки. После больной должен ходить с опорой на пятку в течение 4-5 недель.
Описанные методы фиксации чаще устанавливаются на срок 1-2 месяца. Человеку, чтобы восстановить функции стопы, потребуется пройти большой курс реабилитации. Перелом заживает 1-1,5 месяца. В течение указанного времени носится гипсовая повязка.
Методы восстановления после перелома
Реабилитация – вторая часть, продолжающая лечение. Восстановление после перелома пятой плюсневой кости стопы длится на протяжении двух недель. Реабилитация сложная, порой болезненная. После снятия гипса травматологом потребуется посетить невропатолога либо врача-реабилитолога. Врачи обязательно посоветуют эффективные упражнения в курсе «реабилитация», расскажут порядок выполнения. Следуйте каждому предписанию, чтобы не ухудшить состояние.
 Врачи обязательно посоветуют эффективные упражнения в курсе «реабилитация», расскажут порядок выполнения. Следуйте каждому предписанию, чтобы не ухудшить состояние.
Возможно купить в магазине специальные мячики для массажа, ежедневно раскатывать их стопой по 15 мин в день – простое действие приведет в тонус мышцы, расслабит зажатый нерв.
Уделите внимание собственной ходьбе. Старайтесь ходить ровно и правильно, не прихрамывая. Если не делать это важное упражнение, присутствует шанс остаться хромающим человеком пожизненно. Если человек пробыл в гипсовой повязке более 5-6 недель, не стоит сразу ходить самостоятельно – лучше ходить с палочкой, но уверенно и ровно.
Ванночки для ног помогут в восстановлении. Водные процедуры восстановят функции кожи после гипса, снимут сухость, успокоят ножки и укрепят кость. Для лучшего действия медики рекомендуют использовать соли для ванн.
Стоит приобрести ортопедические стельки. Носить рекомендуется от 6 месяцев до года, укрепляя пострадавшую стопу и предупреждая плоскостопие.
- Начинают с разгибания и сгибания пальцев ног. Старайтесь вначале выполнять упражнение с помощью рук, после – самостоятельно и активно.
- Второе упражнение комплекса — сгибание и разгибание подошвы (выполнять аналогично).
- Попробуйте водить стопой вправо-влево.
Каждое упражнение повторять 20 раз по 1-2 подхода. Главное – не допускать боли при выполнении комплекса. Упражнения прекрасно помогут разработать ногу. Помните, восстановление – процесс нелёгкий, потребуется приложить максимальное количество усилий.
Осложнения после перелома
Лечение и реабилитация часто предопределяют вид и количество осложнений. Из-за перелома основания стопы часто возникают сильные отёки в области голени у людей старше 45 лет. Бывают осложнения в виде деформации стопы и костей, нередко приводя к нарушению походки. Когда перелом затрагивал суставную ткань, возникает артроз. Когда стопа неправильно срослась, усиливаются частые боли в области недавнего перелома. В избранных случаях функции стопы сильно ухудшаются. Осложнения после перелома основания стопы аналогичны. Чтобы избежать сильных осложнений, после падения проверяют симптомы и немедленно транспортируют к врачу! Помните, квалифицированная медицинская помощь поможет лучше дилетантов.
Если лечение происходило с помощью операции, способно возникнуть гнойное воспаление либо омертвение некоторых тканей.
Поэтому восстановление после перелома имеет большое значение для больного. От сил, вложенных в восстановление, зависит здоровье.
Одним из самых распространенных переломов костных структур, который может произойти не только у профессионального спортсмена или танцора, но и у обычного человека, является перелом плюсневой кости стопы.
Примерно 25% от общего числа повреждений стопы приходится именно на данный диагноз. Человек не в состоянии самостоятельно диагностировать такой перелом, поэтому повреждения обязательно должны быть обследованы врачом-травматологом или ортопедом.
Скелет стопы
Стопа — сложнейшим образом, устроенный механизм, поэтомуперелом любого родавлечет за собой нарушение функциональности всей конечности в целом. Стопа человека подразделяется на три отдела:
1. Кости предплюсны. Они включают в себя пяточную, клиновидную, кубовидную, ладьевидную и таранную кости. Последняя представляет собой часть голеностопного сустава;
2. Кости плюсны:
- 1 плюсневая кость;
- 2 плюсневая кость;
- 3 плюсневая кость;
- 4 плюсневая кость;
- 5 плюсневая кость.
Они соединены с пальцевыми фалангами и обеспечивают необходимый уровень свода стопы.
3. Фаланги пальцев, подвижность которых обеспечена за счет наличия между ними суставов. Большой палец включает в себя две фаланги, другие пальцы — три фаланги.
Причины
Рассмотрим несколько причин, в результате которых может произойти перелом плюсневой кости стопы:
- Ударом;
- Подворачиванием ступни;
- Падением тяжелого предмета на стопу;
- Приземлением на стопу при прыжке или падении с высоты;
- Повторяющиеся мелкие однообразные травмы, например, при выполнении спортивных или танцевальных упражнений;
- Ослаблением костей, деформацией стопы и рядом других заболеваний костной системы.
Симптомы и признаки
Примечательно, что перелом подобного типа необязательно характеризуется такими симптомами,как подвижность, крепитация (хруст) фрагментов кости и укорочение пальцев со смещением их в сторону.
При переломе плюсневой кости стопы симптоматика зависит от конкретного положения, наличия смещения и количества повредившихся костей. Но существует ряд признаков, при возникновении которых, следует заподозрить наличие пресловутого перелома:
- нестерпимая боль в месте возможного перелома, которая усиливается при малейшем движении или прикосновении к травмированной стопе;
- затруднение передвижения, хромота;
- нарастающий сильный отек и синюшность тканей в предполагаемом месте перелома ступни.
Разновидности
По характеру повреждения делится на две разновидности: травматический и усталостный (стрессовый перелом). Причиной травматического перелома может стать прямой удар, наезд на стопу или подвывих. Усталостный перелом, напротив, является следствием систематических нагрузок или повторяющихся ушибов.
Данный вид переломов носит название «перелом Дойчелендера» или «маршевый перелом». Такая патология чаще всего диагностируется у новобранцев, так как ключевым фактором ее возникновения является резкое увеличение нагрузки на стопу. По анатомическому принципу переломы плюсневых костей подразделяют на:
- Переломом Джонса-перелом непосредственнопятой плюсневой кости. Данный распространенный вид перелома отличается тем, что крайне долго срастается;
- Отрывной перелом- чаще всего диагностируется при подвывихе стопы вовнутрь и, помимо растяжения, сочетает в себе перелом голеностопного сустава;
- Субкапитальный перелом- перелом шеек плюсневых костей;
- Перелом тела основания или головки плюсневой стопы.
Среди мест перелома, принято выделять поперечный, косой и клиновидный перелом.Также, различают переломы, отличающиеся смещением и, напротив, без смещения. Вдобавок, встречаются переломы открытого и, соответственно, закрытого типа. При переломе костей со смещением разрушаетсяанатомически верное расположение поврежденных костей.
Переломы костей без смещения охарактеризованы физиологически верным положением отломков. Открытый перелом представлен повреждением с разрушением прилегающих к очагу травмы мышечных волокон, а также связочного аппарата и кожного покрова стопы.
Открытие непосредственно прямой видимости участка повреждения является главным признаком данной травмы. При закрытом переломе весь патологический процесс проходит без повреждения прилегающих к очагу травмы мягких тканей. Существует так называемая рефрактура — это повторный перелом на том же месте, что и предыдущий.
Первая помощь
Если пострадавшему в кратчайшие сроки не будет оказана грамотная первая помощь, то подобный вид перелома чреват развитием некоторого числа осложнений. В первую очередь, надлежит произвести иммобилизацию травмированного участка конечности с помощью шин или других подручных приспособлений.
Фиксация производится на всей поверхности стопы до верхней трети голеностопного сустава. Такое положение значительно снижает риск причинения острой боли и сильно упрощает транспортировку пострадавшего в травматологический пункт.
К месту повреждения целесообразнее приложить холод длительностью на 20 минут. Через 10 минут манипуляцию можно повторить, так как это позволит частично снять отек и снизить болезненность в месте травмы.
Если на месте повреждения имеется рана, то ее необходимо забинтовать, наложив антисептическую повязку. Обеспечение покоя поврежденной конечности в приподнятом положении также способствует уменьшению отека и болезненности.
Если имеет место видимое смещение или открытый перелом, то вправлять подобные повреждения самостоятельно нельзя категорически. Выполняет это только врач после детальной диагностики рентгеновских снимков.
Лечение
Данную патологиюудается определить при помощи рентгеновского снимка, выполненного в двух проекциях. Алгоритм лечения и тактика, при данном типе перелома, зависит от тяжести и размещения повреждений. К основным вариантам лечения относят:
- Иммобилизация травмированной конечности гипсовой лангетой на срок от 1 до 1.5 месяцев.Она производится в том случае, если отсутствует смещение костных фрагментов. При переломе со смещением время срастания костей увеличивается в 2 раза;
- При отсутствии смещения для иммобилизации допускается использование ортеза на стопу. Он представляет собой фиксатор конечности, обеспечивающий стабилизацию и разгрузку стопы;
- Закрытая репозиция. Данный вид манипуляции представляет собой сопоставление отломков кости с сохранением целостности кожного покрова. Правда, такой метод может иметь и существенный недостаток, так как при его использовании возможно повторное смещение отломков кости;
- Остеосинтез — операция, проводимая при множественных или оскольчатых повреждениях с целью восстановления анатомического положения костных отломков. Для их фиксации используются винты, спицы и металлические пластины. Одним из методов открытой репозиции является скелетное вытяжение с помощью аппарата Илизарова, использующийся в особо тяжелых случаях. Нельзя не заметить, что при любом хирургическом вмешательстве огромную роль имеет антибактериальная терапия, основная целькоторой,предотвращение инфицирования и нагноения раны.
Для избавления поврежденной конечности от нежелательной нагрузки необходимо использование костылей вплоть до срастания перелома плюсневой кости стопы.
Реабилитация и восстановление
Перелом плюсневой кости стопы различается по степени тяжести, поэтому срок формирования костной мозоли может увеличиться с месяца до двух месяцев с момента снятия иммобилизующей лангеты. На протяжении всего периода реабилитации требуется строго выполнять врачебные рекомендации.
Реабилитация направлена на восстановление работы мышц и сухожилий стопы, нормализации подвижности суставов. В примерный комплекс реабилитационных мероприятий входит:
- Физиотерапевтические процедуры. За счет местного притока крови стимулируется рост костной ткани, что существенно ускоряет сращение перелома;
- Лечебная оздоровительная гимнастика. Данный вид мероприятий показан уже через 4 недели с момента травмы, способствует укреплению мышц и увеличивает подвижность суставов;
- Массаж. В начале, после снятия иммобилизующей лангеты, проводится щадящий массаж для улучшения кровоснабжения и уменьшения отека конечности. По мере восстановления, нагрузка постепенно увеличивается, что благотворно влияет на мышечный тонус;
- Сбалансированное питание. Рекомендовано соблюдение диеты и включение в ежедневный рацион блюд, обогащенных кальцием и витамином D;
- Ношение супинаторов. Ортопедические стельки на стопу послеперелома применяются для формирования правильного свод стопы, равномерного распределения нагрузки.
Осложнения
При неадекватно назначенном лечении или халатном отношении пациента к реабилитации, данный вид травмы чреват развитием массы осложнений. Последствием могут стать следующие осложнения:
- Развитие артроза;
- Деформация костей стопы, влекущая за собой ограничение объема привычных движения и, как следствие, невозможность ношения определенных фасонов обуви;
- Хроническая боль в стопе;
- Формирование костных выступов, шишек после перелома;
- Остеомиелит и некроз имеют место быть, если лечение производилось с помощью оперативного вмешательства.
Для своевременного предупреждения осложнений, следует обязательно наблюдаться у лечащего врача на протяжении всего срока ношения гипсовой лангеты. Лечение и реабилитационный период при переломе плюсневой кости стопы часто предопределяют вид осложнений и их количество.
Поэтому при лечении и восстановлении перелома костей плюсны огромное значение для пациента имеет то, сколько сил и терпения он вложит в этот процесс. Ведь от этого зависит его будущее здоровье и, возможно, трудоспособность.
User Rating: 5.00 / 5
5.00 of 5 — 1 votes
Thank You for rating this article. Опубликовано: 26 мая 2017Плюсневая кость – часть стопы. Она относится к мелким губчатым костям скелета. Стопа – это самый дальний отдел ноги. Этой частью человек касается земли. Область, которая не касается пола, считается сводом стопы. Часть, находящаяся противоположно своду с верхней области, является выпуклой и считается подъемом стопы. Именно в ней есть пять плюсневых костей. Пальцы – их продолжение. У каждой плюсневой кости есть основание, головка и тело, и она граничит с другими костями, который также являются частью стопы.
Вся стопа состоит из 26 костей. Они связаны между собой множеством связок и мелкими суставами. Всего есть три отдела стопы.
- Предплюсна. Кости предплюсны – ладьевидная, кубовидная, пяточная, таранная и три клиновидных.
- Плюсна.
- Фаланга пальцев.
Перелом, затрагивающий кости плюсны, встречается чаще остальных повреждений стопы. Они довольно хрупкие и подвержены различным действиям.
Причины
Основными причинам переломов являются такие травмы, как падение на стопу тяжелого предмета, падение с высоты, удар или подворачивание стопы. Очень часто такие травмы случаются во время спортивных игр или соревнований.
Между костями расположено много связок, которые удерживают плюсневые кости рядом друг с другом. В связи с этим перелом 5 плюсневой кости, который происходит наиболее часто, приводит к переломам и вывихам других костей. Недостаток кальция – это косвенная причина, приводящая к костной хрупкости. По этой причине, а также из-за , переломы возникают даже при незначительных нагрузках. Основные причины переломов:
- падение с высоты;
- падение острого предмета;
- остеопороз;
- продолжительные и интенсивные спортивные нагрузки.
Так как все отделы стопы связаны друг с другом, даже пострадавшие кости предплюсны могут привести к тому, что будет нарушена опорная функция всей стопы. Многое зависит от того, насколько своевременно оказана медицинская помощь и как протекает период реабилитации. Именно поэтому важно как можно раньше определить такие повреждения.
Классификация
Плюсневая кость может повреждаться в разных местах. Классификация зависит от различных показателей. Например, если затронута одна кость, речь ведется об одиночном переломе, если повреждение коснулось нескольких костей, случился множественный перелом.
Кроме того, могут повреждаться разные части: основание, шейка или . Линия надлома также может быть разной – косой, клиновидной, поперечной или Т-образной. Такие особенности влияют на период реабилитации. Еще переломы подразделяются на усталостные и травматические травмы.
Отдельно стоит перелом Джонса. Он происходит по причине бокового удара, который направляется со стороны мизинца. Местом травмы является расстояние в пять сантиметров от основания кости плюсневого типа.
Симптомы
Сначала рассмотрим симптомы травматического перелома.
- В момент травмы слышен хруст. Это говорит о том, что надломлена кость.
- Через несколько часов или даже на следующий день наблюдается отек, который сопровождается кровоподтеком.
- Палец может стать короче или быть отклоненным в сторону не так, как обычно. Этот признак заметен при осмотре.
- После перелома боль может уменьшиться, однако, при нагрузке возобновляется и становится сильнее.
Маршевый перелом проявляется себя следующим образом:
- тупая и ноющая боль при нагрузках; она не сильная и ее можно спутать с болью в связках и мышцах;
- может наблюдаться отек, однако кровоподтека не будет;
- после передышки, следующей за нагрузкой, боль исчезает;
- боль возникает не только при нагрузках, но и после надавливания на место повреждения.
Наиболее точный диагноз выставляется после диагностики в больнице. Обычно делается рентгенограмма в двух проекциях. Трудно отличить перелом Джонса от повреждений проксимальной области диафиза, однако, тактика лечения одинакова.
Лечение
Так как кости плюсны играют важную роль в движениях стопы и ноги, необходимо правильно выбрать метод лечения. Эта обязанность лежит на врачах. Однако до их приезда необходимо оказать пострадавшему первую медицинскую помощь. Конечно, сложно определить конкретный тип перелома, отличить повреждение основания стопы, маршевую травму, перелом со смещением и так далее. Однако простую помощь независимо от типа перелома оказать возможно.
Дальнейшее лечение назначается врачом после постановки точного диагноза. Срок реабилитации и сращения зависит от характера перелома. Например, перелом Джонса сращивается довольно долго, консолидация может осложниться отсутствием сращение.
При лечении любого перелома ставится задача помочь человеку вернуться к обычному ритму жизни. Чтобы достичь этого, необходимо слушать все рекомендации врача. Кости плюсны ломаются быстро, но вот лечение может занять длительное время. Некоторые врачи убеждены, что взрослым пациентам не обязательно накладывать гипс, так как он доставляет им неудобства. Они сами понимают, что необходимо ограничить нагрузку, чтобы перелом сросся как можно быстрее. Однако юным пациентам трудно понять, что нельзя ступать на ногу, а если ходить, то опираться можно только на пятку, поэтому детей гипсуют.
Если произошел травматический перелом, можно опираться только на пятку или же совсем не использовать для передвижений стопу, применяя костыли. В случае стресс-переломов осуществляется частичная нагрузка на стопу, но это возможно только с использованием индивидуальных , разгружающих поврежденный участок.
Если кости предплюсны ломаются без характерного смещения, пострадавшему могут наложить специальную фиксирующую гипсовую повязку, которая способствует моделированию сводов стопы. Такая повязка накладывается на три или более недели, все зависит от характера перелома. Если происходит значительное смещение костных отломков, может быть назначена хирургическая операция.
Показанием к операции является смещение отломков на половину ширину кости и более. Есть два основных вида операции в том случае, если происходит серьезный перелом плюсневой кости стопы с большим смещением.
- Чрескожная фиксация. В этом случае используются спицы, которые просверливаются через отломки о конкретных участках. Перед этим врач закрытым путем устраняет смещение. Такая операция малотравматична, легка, занимает мало времени и стоит недорого. Кроме того, отсутствует шрам. Однако концы спицы остаются снаружи. Также есть риск инфицирования раны, а гипсовая повязка носится один месяц.
- Открытая репозиция перелома. Делается хирургический разрез и осуществляется доступ к поврежденной кости с помощью отвода сухожилий, нервов и сосудов. Проводится мобилизация отломков, устраняется смещение и все фиксируется в правильном положении.
Благодаря таким современным методам можно устранить серьезные последствия перелома. Реабилитационный период, конечно, занимает какое-то время, но лучше немного потерпеть неудобства, чем всю жизнь мучиться из-за осложнений.
Мне гипс наложили и ходила я 26 дней, но у меня был перелом пятой плюсневой кости со смещением. Берегите ножку, принимайте кальцесодержащие препараты (Кальций Д3 Никомед, Кальций-Актив, Горный кальций и т. п.), включите в свой рацион молочное, а также желейные продукты (например, холодец), Вашему организму необходим кальций для ускорения срастания кости. Если снимаете гипс иногда, то можете втирать мазь «Долобене»-хороший эффект дает. Будьте здоровы!
Причины
Переломы 5 плюсневой кости могут быть прямые (то есть возникшие после удара по самой кости) и непрямые (возникающие после удара по соседним костям). Отдельно описан перелом Джонса, который возникает в результате бокового удара со стороны мизинца, и на расстоянии 5 см от основания плюсневой кости возникает перелом.
Иммобилизация, которая подразумевает наложение на всю стопу гипсовой твёрдой повязки. Это обеспечит костям и связкам полный покой, который поможет ускорить и нормализовать процесс срастания тканей. Кроме того, гипс защитит кости от дальнейших смещений при воздействиях. Но такие меры разрешены только при переломах без смещений.
Признаки перелома стопы
После отдыха все болевые ощущения полностью исчезают, но возобновляются при последующем движении.
забинтуйте стопу эластичным бинтом или наденьте компрессионный чулок для предотвращения развития отека;
, которая расположена вдоль наружного края стопы. Клиническая картина повреждения характеризуется отеком стопы и болью в области локализации травмы.
Оказание первой помощи
Опасность данного вида перелома стопы состоит в том, что большинство людей с таким повреждением плюсневых костей не спешат обращаться к врачам. Они руководствуются следующим: есть возможность наступать на ногу и ходить, значит – перелома нет. Такое мнение является ошибочным. Пациенты путают перелом с растяжением, а ведь тактика лечения этих повреждений стопы абсолютно разная. Поэтому при первом же подозрении на усталостный перелом стопы необходимо обратиться к травматологу, чтобы избежать ряда серьезных осложнений. К примеру, перелом 5 плюсневой кости стопы характеризуется очень медленным сращиванием, а в ряде случаев запущенный перелом и вовсе заканчивается несрастанием кости.
-травматические – возникающие, как правило, под влиянием явного травмирующего фактора: падение на стопу тяжелого предмета, сдавливание стопы, наезд и т.д.
Диагностика
Восстановительный период при переломе плюсневой кости достаточно длительный и включает занятия лечебной физкультурой, массаж, использование супинаторов, физиотерапию.
Такие травмы, к которым относится перелом 5 плюсневой кости стопы, обычно встречаются у спортсменов и тех, кто ведет активный образ жизни. Появляются они в результате чрезмерной и длительной нагрузки на стопу. По сути, такой перелом — это трещина на кости, и заметить ее очень сложно.
Перелом таранной кости
Как лечить
Перелом стопы — травма довольно частая и составляет до 20% от всех переломов костей. Не стоит относиться к этому легкомысленно, последствия могут быть очень негативными, вплоть до невозможности передвигаться без посторонней помощи.
Особо можно выделить так называемые «маршевые переломы» или «усталостные» или переломы Дойчлендера. Как ясно из названия, они возникают во время больших пеших переходов, когда человек устает и случайно ставит ногу в неудобное для ходьбы положение.
Если имеет место быть перелом со смещением, то необходима операция. Хирургическое вмешательство подразумевает сопоставление обломков кости и их фиксацию с помощью специальных устройств. Операция проводится под наркозом (чаще общим, но иногда показан местный). Вмешательство также необходимо и при открытых травмах.
Может образоваться отёк. Но синяком (кровоподтёком) он сопровождаться не будет.
придайте стопе возвышенное положение для уменьшения отека; держите стопу на уровне бедра или немного выше.
Характер перелома определяется типом произошедшей травмы. Пятая плюсневая кость чаще других плюсневых костей подвержена непрямому механизму повреждения в результате подворачивания стопы.
Переломы костей стопы могут заканчиваться следующими осложнениями:
-стрессовые (или усталостные) – так, перелом 5 плюсневой кости стопы чаще всего относится именно к таким переломам и возникает обычно у спортсменов, которые получили чрезмерную беговую нагрузку.
Перелом ладьевидной кости
Если такую травму не лечить или лечить неправильно, то возможно появление таких осложнений, как артроз, деформация, постоянные боли и несращение перелома.
Если человек страдает различными сопутствующими заболеваниями, такими как остеопороз или деформация стоп, состояние его может значительно ухудшиться. Стрессовый перелом плюсневой кости встречается и у тех, кто постоянно ходит в неудобной и тесной обуви.
Если диагностирован перелом стопы со смещением, немедленно производится сопоставление фрагментов кости. Дело в том, что, чем позже вы обратитесь к врачу, тем труднее будет восстановить их правильное положение, иногда и вовсе невозможно.
При резком подворачивании стопы в любую стороны, прыжках с высоты с упором на ноги или же при ударе тяжелым предметом может возникнуть эта травма.
Можно еще говорить о псевдоджонсоновском переломе. Возникает он из-за того, что короткая малоберцовая мышца из-за сильного натяжения может оторвать основание 5 плюсневой кости
Больной непременно должен пользоваться костылями, чтобы избегать любых нагрузок на стопу для полного и нормального сращивания костей. Такие меры необходимы при любых переломах: со смещением или без него, а также открытых.
Переломы кубовидной и клиновидной костей
Если надавить на место перелома, то возникнет боль именно в этом участке.
Перелом плюсневых костей стопы
Иммобилизация стопы гипсовой повязкой. Для исключения нагрузки на стопу используют костыли.
Травматический перелом
Переломы пятой плюсневой кости могут быть в области ее основнания, средней части и головки.
- хронические боли в стопе;
Различают множественные переломы плюсневых костей стопы и одиночные. Одиночные переломы костей стопы обычно происходят без смещения, то есть отломки костей сохраняют правильное положение. Также различают открытые (наличие сообщающейся с переломом раны на коже) и закрытые переломы стопы. Открытые переломы более опасны, так как всегда имеется риск инфицирования области перелома различными микроорганизмами, что может привести к таким осложнениям как флегмона, столбняк, сепсис и остеомиелит.
Перелом стрессовый (усталостный)
Этот тип переломов костей стопы возможен в результате прямого воздействия на пальцы (например, при сильном ударе или падении тяжести). Если основные фаланги срастутся неправильно, может нарушиться функция стопы. Кроме того, возможно появление болей при ходьбе и ограничение подвижности травмированной конечности. В результате перелома средней и ногтевой фаланг такие последствия не возникают.
Симптомы
Гипс накладывается на месяц-полтора. Начиная с третьей недели, нужно освобождать травмированную конечность из шины и делать активные движения голеностопным суставом.
Переломы костей плюсны появляются в результате неожиданного сильного воздействия на ногу, чрезмерной нагрузки и перенапряжения.
Основной причиной являются травмы: удар, падение тяжелого предмета на стопу, подворачивание стопы, падение на ступни с высоты. Особенно часто это случается во время спортивных игр. Между костями плюсны есть много связок, назначение которых удерживать кости плюсны около друг друга, поэтому перелом 5 плюсневой кости часто приводит к вывихам и переломам других костей стопы. Косвенной причиной может служить недостаток кальция в костях, что приводит к их хрупкости
Обязательно наблюдение врача
Теперь проявления травматического перелома:
Операция при переломе 5 плюсневой кости может потребоваться при наличии смещения, множественных переломах других костей стопы или при отсутствии сращения. Операция заключается в точном сопоставлении костных отломков и надежнй их фиксации при помощи миниимплантатов.
Диагностика перелома плюсневых костей
Отрывной перелом основания 5 плюсневой кости – это повреждение, при котором происходит отрыв костного фрагмента под дейстием тяги прикреплючщихся к нему сухожилий. Такой тип перелома встречается при подворачивании стопы внутрь. Отрывные переломы часто пропускают, когда они сопровождают растяжение связок голеностопного сустава.
Лечение
- продолжительное нарушение нормального функционирования стопы;
Основными признаками данного типа перелома стопы являются:
Симптомы
Первый симптом, который должен насторожить, — боль, возникающая в стопе после длительной интенсивной нагрузки и исчезающая в спокойном состоянии. Со временем она усиливается до такой степени, что любые действия становятся невозможными. Болезненность сохраняется и в состоянии покоя. На месте травмы появляется отек.
Несколько позже назначают лечебную физкультуру и массаж, физиопроцедуры. На восстановление трудоспособности уходит от двух до трех месяцев.
Отек травмированной области и боль — самые первые симптомы, указывающие на то, что, возможно, у вас перелом стопы. Фото, приведенное ниже, показывает, как выглядит больная нога.
Симптомы перелома определяются характером и тяжестью его, а также локализацией. Очевидно, что при сложных переломах с большим количеством осколков, со смещением их клиническая картина будет иная, чем при простых переломах. Обычно возникают трудности при ходьбе, отек ноги, боль, хруст в месте перелома, деформация стопы, кровоизлияния на коже и под ней. При переломе основания плюсневой кости отек распространяется на голеностопный сустав
. Периодически будут делаться рентгенологические снимки, по которым специалист будет оценивать ситуацию и характер сращивания. Вероятно, будут назначены процедуры физиотерапии или особые упражнения.
Переломы фаланг пальцев стопы
Непосредственно в момент травмы можно услышать хруст, который сигнализирует о надломе кости.
Как и при других переломах пятой плюсневой кости, может проводиться гипсовая иммобилизация, но ее продолжительность обычно дольше, так как переломы этого типа срастаются сложнее.
Перелом Джонса происходит в области основания пятой плюсневой кости, в зоне со слабым кровоснабжением. Поэтому часто при таких переломах отмечается замедленное сращение и несращение перелома. Как правило, перелом Джонса возникает на фоне предшествующих циклических стрессовых нагрузок.
- артроз, развивающийся на фоне внутрисуставного перелома или угловой деформации, возникающей при отсутствии правильной коррекции смещенных отломков костей;
- характерный хруст в момент получения травмы;
Отмечается синюшность сломанного пальца, отечность, ярко выраженная болезненность во время движения. При таких травмах иногда образуется подногтевая гематома. Чтобы подтвердить диагноз, рекомендуется проведение рентгенографического исследования в двух проекциях.
Опасность в том, что большинство людей с такой травмой не спешат обращаться к врачу, часто человек даже не подозревает, что у него перелом стопы. Признаки в этом случае не так ярко выражены, как при других переломах, больной ходит и наступает на ногу. Поэтому, чтобы избежать осложнений, обращаться к доктору необходимо немедленно.
fb.ru
Перелом костей стопы – симптомы, методы лечения
Возникает как следствие прямого воздействия. Часто перелом этой кости стопы сопровождается травмами других костей. Болезненные ощущения могут быть настолько сильны, что человек не может передвигаться. Также в области травмы может возникнуть кровоподтек. Перелом со смещением характеризуется изменением формы стопы.
Помимо вышеперечисленных симптомов, основным методом в определении диагноза перелома 5 плюсневой кости является рентгенография стопы в трех проекциях: прямой, боковой и полубоковой. Иногда отекшие ткани прикрывают место перелома, и определить его наличие на снимке можно только тогда, когда наступает смещение обломков кости
Гипс необходимо будет носить примерно 1-1,5 месяца (это зависит от степени тяжести травмы, а также от характера и скорости сращивания костей). Когда повязка будет снята, необходимо уделить особое внимание реабилитации. Полное восстановление всех функций и возвращение к нормальной жизни произойдёт лишь спустя 1-3 недели. В это время нужно вернуть прежнюю подвижность стопе, мышцам и связкам.
На следующий день или через несколько часов после перелома появляется отёк, сопровождающийся кровоподтёком.
Переломы плюсневых костей стопы
Для ускорения заживления некоторых переломов применяется костная стимуляция.
В области пятой плюсневой кости также могут встречаться переломы в средней части кости, а также переломы ее шейки или головки.
- деформация костной структуры и как следствие проблемы при подборе и ношении обуви, ограниченный объем движений стопы;
- укорочение поврежденного пальца или его отклонение в сторону;
Травматические переломы костей плюсны
Лечение
Перелом пятой плюсневой кости стопы — травма, которая встречается чаще всех остальных.
Симптомы
Иногда человек не догадывается, что у него перелом стопы. Признаки могут быть не ярко выраженными, боль возникает только при нагрузке на пострадавшую ногу. Поэтому для уточнения диагноза необходимо обратится к травматологу.
Начинают его с применения обезболивающих средств. Назначают препараты кальция и витамин D, можно применять лекарственные препараты нового поколения, улучшающие регенерацию костной ткани. Определяющим моментом в выборе тактики лечения является тяжесть перелома.
Скорее всего, будет назначен массаж, позволяющий разработать сухожилия и мышцы. В некоторых случаях полезной и необходимой бывает физиотерапия, положительно влияющая на все ткани и их регенерацию. Также специалист расскажет, какие упражнения лечебной физкультуры помогут восстановить прежнюю гибкость и подвижность ступни и растянуть сухожилия и связки.
Стрессовые переломы костей плюсны
Палец может укоротиться или отклониться в сторону неестественным образом. Внешне это будет заметно.
Перелом – это довольно серьёзная травма, которая, к сожалению, в медицинской практике встречается довольно часто. Из всех случаев около 3% занимают переломы плюсневых костей, располагающихся в стопе. А какими особенностями отличается восстановление после перелома плюсневой кости? Какими последствиями может быть опасна такая травма?
Переломы пятой плюсневой кости могут быть без смещения (анатомическое соотношение костных отломков не нарушено) и со смещением (отмечается разобщение костных отломков и неправильное их положение), а также закрытыми (кожа на стопе не повреждена) и открытыми (наличие раны, сообщающейся с областью перелома). При переломах со смещением имеется опасность неправильного сращения отломков, а также несращения. При открытых переломах увеличивается риск развития инфекционных осложнений: нагноения, флегмоны, остеомиелита, столбняка.
- несрастание перелома, приводящее к необходимости хирургического лечения.
- значительные болевые ощущения в момент травмы, которые со временем ослабевают, но не исчезают полностью;
При переломах без смещения на больной палец накладывают заднюю гипсовую шину. При наличии смещения есть необходимость проведения закрытой репозиции. Отломки костей фиксируют спицами.
При подворачивании стопы внутрь возможно возникновение отрывного перелома. При этом происходит отрыв и смещение плюсневой кости. Сращивание очень длительное, поэтому обращаться к травматологу нужно как можно скорее. При несвоевременном лечении кость может неправильно срастись, в этом случае понадобится хирургическое вмешательство.
Осложнения
Человек не может опереться на конечность из-за сильных болевых ощущений. Появляется отечность и кровоизлияния. При пальпации, попытках повернуть стопу внутрь и наружу человек ощущает резкую боль. Чтобы подтвердить перелом ладьевидной кости стопы, рекомендуется провести рентгенографическое исследование.
При подозрении на перелом костей стопы травмированную конечность необходимо зафиксировать. Можно воспользоваться импровизированной шиной, сделанной из дощечек, лыжных палок или прутьев, которую крепят бинтами к ноге. Если ничего под рукой не оказалось, можно прибинтовать поврежденную конечность к здоровой, используя шарф, рубашку или полотенце.
Если нет смещения обломков кости и края перелома ровные, нужно после разгрузочной фиксации ноги с помощью шины наложить гипсовую повязку под названием «сапожок». Гипс накладывают до колена на срок в среднем до 4-х недель. Если контрольный рентгеновский снимок покажет, что срастание кости прошло нормально, гипс снимают, назначается еще на некоторое время тугой бинт на стопу с применением ортопедической вкладки в обувь или ортопедической обуви как таковой.
Выполнение предписаний врача непосредственным образом влияет на процесс восстановления, так что не пренебрегайте советами специалиста и ответственно к ним относитесь.
Болевые ощущения после перелома могут утихнуть, но при нагрузке на стопу непременно возобновятся и усилятся.
Перелом плюсневой кости занимает практически первое место среди всех травм стопы. Эти кости располагаются в передней части основания ступни и являются довольно хрупкими. А частые нагрузки и прочие факторы приводят к повреждениям.
Лечение перелома плюсневых костей стопы
отек и боли при прикосновении по наружному краю стопы;
Отсутствие грамотного лечения переломов костей стопы приводит к развитию серьезных осложнений. Лечение перелома костей плюсны зависит от характера перелома (закрытый или открытый), наличия или отсутствия смещения, локализации и может включать в себя:
- возникновение отека (очень часто и кровоподтека) на следующий день.
Переломы ногтевых фаланг не нуждаются в особом лечении, обычно достаточно фиксации лейкопластырной повязкой. Срок иммобилизации составляет от 4 до 6 недель.
Основание 5 плюсневой кости — это область со слабым кровоснабжением. Именно в этом месте происходит перелом Джонса. Возникает он на фоне стрессовых нагрузок и срастается очень медленно.
Лечение
При открытом переломе не стоит самостоятельно пытаться вправить кость, в первую очередь необходимо остановить кровотечение. Для этого нужно обработать кожу вокруг раны йодом или перекисью водорода. Затем нужно осторожно наложить стерильную повязку. После того как была оказана первая помощь, пострадавшего необходимо доставить в медицинское учреждение.
dolgojit.net
Перелом 5 плюсневой кости
Если же перелом сложный, с большим количеством осколков, с неровными краями этих осколков, или после снятия гипса вновь происходит смещение обломков, или не удается провести ручную репозицию, т.е. восстановление нормального вида кости руками, возникает необходимость применить скелетное вытяжение. В дистальной фаланге пятого пальца просверливается отверстие, в которое вставляется металлическая спица или шелковая нить, на них в свою очередь подвешивается груз. Примерно через месяц, если контрольный рентгеновский снимок показывает, что обломки встали на место, можно наложить гипсовый сапожок и снять его после рентгеновского контроля через 3-4 недели в случае правильного срастания кости. Существует более щадящий метод скелетного вытяжения с помощью раздвижной шины Черкес-Заде. В шине находятся цапки, которые помогают прицепиться к кости дистальной фаланги пальца.Если пренебречь лечением или неправильно его проводить, то могут возникнуть некоторые последствия после перелома плюсневой кости. Перечислим некоторые из них: Если случился перелом плюсневой кости стопы, то стоит предпринять некоторые действия:
Данные травмы можно классифицировать по нескольким показателям. Так, если сломана одна кость, то речь идёт об одиночном переломе, если затронуты 2 и более костей, то это множественный перелом. Повреждаться могут разные части: диафиз, основание или шейка. Различными могут быть и сами повреждения в зависимости от локализации и формы. В частности, линия надлома может быть поперечной, косой, Т-образной или клиновидной. От таких особенностей зависит лечение и период реабилитации
боли при ходьбе;
Виды переломов 5 плюсневой кости
- наложение гипса. Как правило, гипсовая иммобилизация характерна для переломов костей плюсны без смещения;
При травматических переломах стопы чаще всего страдают вторая, третья и четвертая плюсневая кость.
Если правильно лечить перелом стопы и строго соблюдать всех рекомендации врача, возможно не только сократить период восстановления, но и предотвратить возможные осложнения.
Пострадавшего тщательно осматривает врач, изучая не только стопу, но и голеностопный сустав, определяет наличие отека, кровоизлияния и характерной деформации. Затем делают рентгенограмму в прямой, боковой и полубоковой проекциях. После определения перелома и его вида назначается необходимое лечение.
Признаки перелома 5 плюсневой кости:
- Если не обнаружено смещение, врач накладывает циркулярную гипсовую повязку на поврежденную область. При переломах ладьевидной кости со смещением проводят сопоставление фрагментов кости, в некоторых случаях может понадобиться проведение открытого вправления. Стопу фиксируют гипсом на срок четыре-пять недель.
- В первую очередь травматолог должен тщательно осмотреть больную ногу. Обнаружив у пострадавшего симптомы перелома стопы ноги, врач делает рентген, чтобы определить тип и локализацию повреждения. Очень редко возникает необходимость проведения компьютерной или магнитно-резонансной томографии.
- Часто бывает, что даже после наложения сапожка кость не срастается, или срастается неправильно, или осколков слишком много, переломы поперечные и косые имеют локализацию в диафизе 5 плюсневой кости, или смещение осколков не поддаётся репозиции
Деформация костей стопы и изменения их структуры. Строение ступни изменится, что приведёт к ограничению подвижности и неудобствам при ношении некоторых видов обуви.
Необходимо ступню зафиксировать в одном положении. Для этого на стопу следует наложить шину. Это может быть какая-то доска, которая прислоняется к месту травмы и прикрепляется с помощью бинта. Делать нужно всё очень осторожно, чтобы не усилить повреждение.
Лечение перелома 5 плюсневой кости
- появление кровоподтека;
- - использование костылей на протяжении всего периода сращивания перелома для снижения нагрузки на стопу;
- Данные переломы стопы представляют собой малозаметные трещины, спровоцированные повторяющимися чрезмерными и длительными нагрузками. Чаще всего отмечаются у спортсменов-бегунов. Кроме того, причиной усталостного перелома плюсневой кости может являться деформация стопы или ее патологическая структура, неправильно подобранная обувь или остеопороз.
- Если обнаружен незначительный перелом стопы, лечение заключается в простом наложении шины. При этом травмированная конечность несколько недель должна находиться в неподвижном состоянии для того, чтобы поврежденная костная ткань полностью зажила.
Методы лечения переломов пятой плюсневой кости
- Достаточно сложно лечить такой перелом стопы в сочетании с вывихом. Если вывихнутый отломок не вправить на место, может развиться травматическое плоскостопие. Смещенные фрагменты вправляют при помощи специального вытягивающего аппарата. Иногда приходится прибегать к проведению открытой репозиции и закреплению вправленного отломка шелковым швом. После такой процедуры иммобилизация поврежденной конечности должна продолжаться до 10-12 недель. В дальнейшем необходимо ношение ортопедической обуви.
- После того, как был диагностирован перелом, назначается лечение, которое зависит его типа и от того, какая именно кость сломана.
Особенности лечения перелома Джонса
с помощью скелетного вытяжения. Тогда возникает необходимость в проведении операции, которая называется остеосинтез. Иногда пациент хочет просто иметь гарантию, что кость срастется правильно. Проводить эту операцию нельзя при переломах плюсневой кости в области шейки и головки кости, а также при внутрисуставных и продольных переломах. Оперировать можно в среднем через « недели после перелома, когда нет уже отека тканей в месте перелома, но и не позднее 1,5 месяца после перелома, так как существует опасность самопроизвольного неправильного срастания кости.
Может начаться артроз, если перелом затронул суставную ткань. Сустав будет разрушаться, что нередко сопровождается болями.
podiatriya.ru
Какими последствиями могут быть опасны переломы плюсневых костей?
К месту перелома для снятия отёка и предотвращения сильного кровоподтёка можно приложить что-то холодное минут на 15.
Суть травмы и виды
Ещё одна классификация таких травм подразумевает их деление на травматические переломы и усталостные. В первом случае повреждение является следствием удара или другого сильного и зачастую резкого механического воздействия. Такой перелом может произойти с последующим смещением костей (когда их части располагаются неправильно относительно друг друга) и без него (в этом случае части остаются в одной плоскости). Кроме того, он может быть закрытым (без видимых явных признаков) или открытым, то есть с образованием раны в месте повреждения.
Куда обращаться
- хирургическую операцию, проводящуюся при переломах костей плюсны со смещением;
К симптомам стрессового перелома костей плюсны относятся:
Лечение перелома плюсневых костей стопы
Когда кость сильно разрушена, необходимо осуществить внутреннюю фиксацию. Это делают с использованием специальных винтов.
Как определить такую травму?
Чаще всего травма возникает при падении тяжести на тыл стопы и сопровождается отеком мягких тканей в зоне повреждения, болезненностью при пальпации и поворотах стопы в любую сторону. Обязательно проведение рентгенографического исследования, чтобы подтвердить перелом. После этого нога фиксируется гипсовой повязкой на месяц-полтора. На протяжении года после такого перелома рекомендуется носить супинатор.
Эта кость имеет некоторые особенности. К таранной кости не прикреплена ни одна мышца. Кроме того, она передает вес тела на всю стопу.
- При этом виде лечения обломки фиксируются металлическим стержнем Богданова, назначение которого не дать им изменить положение. Затем накладывается гипсовая повязка на 6 недель. Все это время на ногу наступать нельзя. Затем гипсовая повязка модифицируется в повязку с каблучком. Спицы или стержень из ноги удаляются через 3 месяца, винты позже, через четыре. После этого показано применение ортопедической обуви
- Постоянные боли в стопе из-за неправильного сращения костей (оно может привести к полному обездвиживанию в тяжёлых случаях).
- Если боль очень сильная, можно принять обезболивающий препарат (например, «Нурофен»).
- Усталостный перелом – это трещины, которые могут быть незаметными и образуются в результате частых и постоянных нагрузок на стопу (при ходьбе или во время бега).
Любой человек с симптомами перелома пятой плюсневой кости должен как можно скорее обратиться к профессионалу травматологу-ортопеду для правильной диагностики и лечения.
- - послеоперационное наблюдение и наблюдение после прохождения курса консервативного лечения. Нередко пациентам в этот период может назначаться физиотерапия.
- - боль, возникающая во время физической нагрузки или после нее и исчезающая во время отдыха;
- Перелом стопы – перелом одной или нескольких из 26 костей стопы, возникающий, как правило, вследствие чрезмерной нагрузки, автомобильных или спортивных травм, падения на стопу тяжелых предметов. От 2,5% до 15% от общего числа переломов скелета приходится на переломы стопы.
- Тяжесть и характер повреждения определяет дальнейшее лечение. Любой перелом плюсневой кости без смещения нуждается в проведении иммобилизации. Наложенный гипс надежно защитит кость от возможного смещения. Благодаря тому, что стопа полностью неподвижна, срастание костной ткани будет происходить быстрее.
Первая помощь при травме
Эта травма чаще всего встречается среди всех переломов стопы. Существует два типа переломов плюсневых костей: травматические и стрессовые.
- Перелом таранной кости возможен в результате непрямой травмы, встречается нечасто и считается тяжелым повреждением костей стопы. Сопровождается иными травмами, такими как перелом, вывих лодыжки или других костей стопы.
- Возникновение осложнений связано с тяжестью перелома и правильностью проведенного лечения. Часто процесс срастания перелома имеет затяжной характер в силу разных причин. При разрезании тканей во время скелетного вытяжения возможно омертвение тканей, гнойное их воспаление. Кость не срастается совсем или срослась неправильно, что приводит к нарушению походки, ухудшению физической дееспособности. Кроме того, надо принимать осложнения, которые могут возникнуть во время хирургического вмешательства или после него, в том числе после применения наркоза.
- Некоторые функции стопы могут сильно нарушиться.
- Стопе нужно обеспечить покой. Нельзя её трогать и тем более наступать на неё.
- Всего плюсневых костей пять. Наиболее частым является перелом 5 или 4-й плюсневой кости стопы, так как они являются наиболее хрупкими и уязвимыми. Реже встречаются переломы 1 кости и совсем редко 2 и 3-й. Что касается пятой кости, то её травмирование часто осложняется смещением и выходом за плоскость ступни.
- Если обратиться к хирургу травматологу-ортопеду пока невозможно, следует выполнить слудующие рекомендации:
Что сделает врач?
Внимание!
- - точечная боль в месте перелома плюсневой кости при пальпации;
- Человеческая стопа состоит из 26 костей, которые тесно взаимодействуют между собой и связаны большим количеством связок и мелких суставов. Таким анатомическим строением стопы объясняется тот факт, что перелом хотя бы одной из ее костей впоследствии сказывается на работе стопы, а как итог и на функциональности всей конечности.
- Если во время получения травмы произошло смещение отломков, без хирургического вмешательства не обойтись. При проведении операции врач вскрывает область перелома и сопоставляет образовавшиеся отломки, после чего фиксирует их специальными спицами или винтами. Потом накладывается гипс на срок до шести недель. Больному запрещено наступать на травмированную ногу. Через шесть недель можно начинать ходить. Спицы вынимают через три месяца, винты — через четыре. Пациенту рекомендуется носить ортопедическую обувь или стельки.
- Является результатом внешнего механического воздействия. Это может быть падение тяжести на ногу, передавливание стопы, сильный удар. Симптоматика
Реабилитация
Павел Попов
Здоровья вам! И непременно обращайтесь к врачу!
Человека нужно отвезти в больницу, где ему сделают рентген, чтобы понять, какая кость повреждена, и какова степень тяжести травмы.
Возможные осложнения после травмы
Итак, каковы симптомы подобного перелома? Они зависят от конкретного вида.
- обеспечить покой травмированной стопе, так как ходьба может ухудшить положение;
- Данная статья размещена исключительно в познавательных целях и не является научным материалом или профессиональным медицинским советом.
- - возникновение отека, не сопровождающегося кровоподтеком.
- Человеческая стопа разделена на три отдела: предплюсну, плюсну и фаланги пальцев.
При переломе Джонса накладывается гипсовая повязка от пальцев ноги до средней трети голени на срок до двух месяцев. Нельзя наступать на поврежденную ногу.
NashyNogi.ru
Переломы 5 плюсневой кости стопы
Признаки
Классификация переломов
При получении травмы ощущается резкая боль, возникает отек стопы и голеностопа, на коже заметны кровоизлияния. Если отломки смещены, можно заметить, что стопа деформирована.
если сраслось правильно то снимут, срок как раз подожел гипс снимать… у с гипсом на ноге 21 ходил
Стопой называется самый дальний отдел нижней конечности или ноги, которым человек касается земли. Та часть стопы, которая при ходьбе прилегает к земле — подошва или ступня. Та часть подошвы, которая не касается земли, называется сводом стопы. Противоположная своду с верхней стороны выпуклая часть называется подъемом стопы. Она состоит из 5 плюсневых костей, продолжением которых являются пальцы. Каждая плюсневая кость имеет основание, тело и головку и граничит с другой стороны с предплюсной. Переломы 5 плюсневой кости составляют примерно половину переломов всех костей стопы и чаще всего располагаются в средней её части
Не пытайтесь вправить кость самостоятельно! Это опасно.
Причины перелома
Для начала опишем признаки усталостного перелома (его ещё называют маршевым):
Что говорит о болезни?
приложить холод к стопе;
Как диагностировать?
Современная хирургия стопы часто сталкивается с различными
Методы лечения
Усталостные переломы характерны в основном для четвертой и пятой плюсневой кости.
Среди всех переломов стопы именно переломы плюсневых костей занимают лидирующую позицию. Все переломы костей плюсны делят на два типа:
Чтобы снизить нагрузку на травмированную конечность во время ходьбы, нужно использовать костыли. Больной обязательно должен наблюдаться у врача, который правильно подберет реабилитационный курс для восстановления нарушенной функциональности в травмированной стопе.
Проявляется травматический перелом стопы характерным хрустом и болью в момент получения травмы, можно заметить укорочение пальца или отклонение его в сторону. Боль сначала очень сильна, но со временем ослабевает, хотя и не проходят полностью. На месте травмы возникает отек или кровоподтек.
Чтобы подтвердить перелом, определить его локализацию, тип и степень смещения костей, выполняют рентгенографическое исследование в двух проекциях.
Осложнения
Переломы согласно их количеству могут быть единичные и множественные, со смещением обломков кости и без них, в зависимости от расположения различают переломы шейки, диафиза и основания самой кости, в соответствии с линией перелома могут быть поперечные, продольные, косые, клиновидные, Т-образные.
medic-abc.ru
За сколько заживёт правая плюсневая кость?
Итак, нужно обратиться к травматологу. Но если имеет место быть открытая травма, то потребуется помощь хирурга. Перечислим основные направления и важные моменты, которые включает в себя лечение:
Ноющая и тупая боль, возникающая во время нагрузок (например, при ходьбе, во время подъёма по лестнице или при беге). Она не слишком сильная и похожа на боль в мышцах или связках.
для уменьшения отека и боли в стопе заверните пакет со льдом в тонкое полотенце и прикладывайте к области травмы по 20 минут в течение каждого часа; не прикладывайте холод непосредственно к коже.
переломами 5 плюсневой кости
Лечение перелома пятой плюсневой кости | Частный хирург Лондон
Что такое перелом плюсневой кости 5
?
Стопа имеет пять плюсневых костей, а 5 -я — это та, которая находится снаружи стопы. На внешней стороне стопы почти на полпути по длине стопы есть небольшая бугорка, это основание 5 -й плюсневой кости. Верхний конец плюсневой кости 5 — это как раз то место, где начинается мизинец.Вы можете сломать кость в любом месте, но чаще всего у ее основания.
Какая травма или несчастный случай могут привести к перелому плюсневой кости 5
?Обычно возникает из-за скручивания или перекатывания стопы внутрь, подобно тому, как вы можете растянуть лодыжку, но может произойти из-за того, что стопа сдавливается или перекручивается другими способами.
Какие симптомы?
Боль обычно довольно быстро следует за травмой, но может быть вполне терпимой, ведь люди часто могут ходить, лишь слегка прихрамывая.Стопа может опухнуть и образоваться синяк на внешней стороне стопы.
Что делать?
Стоит пройти оценку через несколько дней после травмы, чтобы убедиться, что нет других травм, таких как растяжение связок лодыжки или травма Лисфранка. Требуется клиническое обследование хирургом-ортопедом стопы и голеностопного сустава и рентген.
Как точно диагностируются переломы плюсневой кости 5
и ?Рентген стопы точно диагностирует поврежденную часть кости.
Как обычно лечится перелом плюсневой кости 5
-й ?Лечение зависит от точного вида перелома на рентгеновском снимке. Подавляющее большинство лечится с использованием ботинок для ходьбы и костылей, но в некоторых случаях операция при переломах может привести к более быстрому выздоровлению и возвращению к спорту, если пациент того пожелает. Вам это объяснит хирург-ортопед, специализирующийся на стопе и голеностопном суставе.
Сколько времени обычно требуется, чтобы оправиться от этой травмы?
После оперативного или безоперационного лечения полное заживление перелома кости ожидается к 8–12 неделям.Незадолго до этого можно начинать занятия и заниматься спортом и постепенно возвращаться к полной активности через 12-20 недель в зависимости от активности и уровня симптомов.
Каковы обычные результаты?
Более 90% выздоравливают без осложнений, и люди возвращаются к полноценным занятиям спортом. При некоторых переломах потенциальной проблемой является «несращение», когда кость не срастается должным образом и может продолжать вызывать дискомфорт, не позволяя людям заниматься спортом. Если это произойдет, то варианты лечения будут обсуждены с вами и вашим хирургом и могут включать операцию по исправлению перелома с помощью винта и, возможно, очень небольшого количества костного трансплантата.
Arthrex — Лечение перелома плюсны
Использование файлов cookie
Этот веб-сайт использует собственные файлы cookie и файлы cookie аналитических служб для предоставления своих услуг, персонализации рекламы и анализа трафика. Данные об использовании вами этого веб-сайта будут переданы поставщикам аналитических услуг. Соглашаясь на использование этих файлов cookie, вы также даете согласие на их обработку. Вы можете отозвать это согласие в любое время и удалить файлы cookie в любое время.Для получения дополнительной информации см. Наше Заявление о конфиденциальности данных. Ниже вы можете либо принять все файлы cookie и напрямую посетить наш веб-сайт, либо изменить настройки файлов cookie по отдельности.
Необходимые файлы cookie
Всегда активный
Эти файлы cookie необходимы для работы нашего веб-сайта и не могут быть отключены в наших системах. Как правило, эти файлы cookie настраиваются только для удовлетворения запроса на обслуживание в ответ на ваши действия, такие как настройка параметров конфиденциальности, регистрация и заполнение форм.Вы можете настроить свой браузер так, чтобы он блокировал эти файлы cookie или уведомлял вас об этих файлах cookie. Это может привести к тому, что некоторые области сайта не будут работать.
С помощью этих файлов cookie мы можем подсчитывать посещения и определять источники трафика, чтобы помочь нам определить и улучшить производительность нашего сайта. Они помогают нам определить, какие страницы наиболее популярны, какие меньше всего используются и как посетители перемещаются по сайту. Если вы не разрешите использование этих файлов cookie, мы не узнаем, когда вы посетили наш веб-сайт.Файлы cookie производительности могут быть установлены нами или третьими сторонами, чьи услуги мы используем на наших сайтах. Для получения дополнительной информации о сторонних поставщиках, с которыми мы работаем, прочтите раздел «Сбор данных при посещении нашего веб-сайта» в нашем Заявлении о конфиденциальности данных.
Эти файлы cookie позволяют предоставлять расширенные функции и настройки. Например, ваши языковые настройки хранятся в виде функциональных файлов cookie.
Переломы плюсны — Центр заболеваний опорно-двигательного аппарата
Переломы плюсны
Переломы плюсневой кости являются обычным явлением и должны быть осмотрены специалистом по стопам для точного диагноза, оценки и соответствующего лечения.Плюсневые кости — это длинные кости, которые соединяют пальцы ног и лодыжку. Подставки для стабилизации стопы, когда вы стоите, и используются при ходьбе.
Возможные причины
Кости пальцев стопы и плюсны уязвимы для переломов, вызванных травмой и стрессом.
Переломы плюсневой кости обычно возникают в результате раздавливания стопы, падения тяжелого предмета на стопу, скручивания или застревания стопы при движении тела. Они также могут быть травмированы в результате стресса из-за чрезмерного использования.Бег на длинные дистанции является примером деятельности, которая потенциально может вызвать стрессовую травму.
Симптомы перелома плюсневой кости
Признаки и симптомы перелома могут включать, как правило, боль. Боль может возникать в положении стоя, во время активности или после нее. Также это может произойти при прикосновении к травмированной части стопы. Отеки также являются частым симптомом. Травмированный палец ноги может выглядеть деформированным. Синяки могут быть очевидны, если травма возникла в результате травмы. У пациента также могут быть проблемы с переносом веса на травмированную ногу.Переломы плюсны, вызванные прямой травмой, могут быть тяжелыми и сложными.
Пациенту, который имеет или думает, что у него есть перелом пальца стопы или плюсны, следует немедленно обратиться к специалисту. В зависимости от серьезности травмы может потребоваться немедленная медицинская помощь, чтобы должным образом вылечить травму и избежать дальнейшего повреждения стопы.
Диагностика
Врач-педиатр проведет медицинский осмотр и спросит о вашей боли. Рентген назначают, чтобы увидеть, есть ли перелом.В некоторых случаях врач может назначить дополнительное визуализационное обследование в зависимости от того, где и насколько серьезна ваша травма, или если они подозревают, что у вас стрессовый перелом, а это не показано на рентгеновских снимках. Дополнительный тест будет назначен с большей вероятностью, если травма возникла в результате прямой травмы.
Лечение перелома плюсневой кости
Большинство переломов плюсневой кости можно вылечить без хирургического вмешательства.
Если у пациента стрессовый (волосяной) перелом, ему, вероятно, потребуются прогулочные ботинки или защитная обувь.Следует ограничить нагрузочную деятельность. Обычно рекомендуется отдых, приподнятие и обледенение, чтобы уменьшить отек и дать стопе возможность зажить. Пациент также может принимать Тайленол при любом дискомфорте.
Если сломано более одной плюсневой кости и ваша стопа нестабильна, может потребоваться операция. Для удержания сломанных костей на месте, пока они заживают, можно использовать винты, пластины или булавки. Если основание плюсневой кости сломано, это потенциально может быть частью травмы Лисфранка, которая потребует хирургического вмешательства.Травмы Лисфранка встречаются нечасто.
Записаться на прием к педиатру
Специалист по стопам в Центре заболеваний опорно-двигательного аппарата имеет большой опыт в лечении переломов и других травм. Рекомендуется раннее лечение стопы или лодыжки, чтобы предотвратить дополнительную боль и дальнейшие травмы. Запишитесь на прием к одному из наших высококвалифицированных и опытных ортопедов сегодня.
Перелом пятой плюсневой кости Нью-Йорк, Нью-Йорк | Отрывной перелом Нью-Йорк
Что такое переломы пятой плюсневой кости?
Плюсневые кости — это длинные кости стопы.На каждой стопе по пять плюсневых костей. Пятая плюсневая кость — это длинная кость, которая расположена на внешней стороне стопы и соединяется с мизинцем. Чаще бывает перелом пятой плюсневой кости. Переломы 5 плюсневой кости трудно поддаются лечению. Часто им требуется операция, так как их кровоснабжение очень плохое. Хирурги Нью-Йоркского университета первыми в мире сообщили о новом интрамедуллярном винте в сочетании с CBMA для улучшения заживления.
Существует два типа переломов пятой плюсневой кости:
- Отрывной перелом : кусок кости отрывается от основной части пятой плюсневой кости сухожилием, которое прикрепляется к этой области.
- Перелом Джонса : перелом небольшой области пятой плюсневой кости, которая получает ограниченное кровоснабжение. Это может быть стрессовый перелом (небольшой разрыв волосяного покрова, который происходит с течением времени) или острый (внезапный) перелом. Эти переломы встречаются реже, чем отрывные переломы, и для их заживления может потребоваться больше времени.
- Другие переломы, такие как переломы средней части диафиза (перелом танцора) и переломы головы и шеи плюсневой кости, могут возникать в пятой плюсневой кости.
Причины
Чрезмерное использование, повторяющиеся стрессы и травмы — наиболее частые причины переломов Джонса. Пациенты, перенесшие перелом Джонса, испытывают боль, припухлость, болезненность и синяки на внешней стороне стопы. У них также могут быть трудности при ходьбе.
Для диагностики потребуется рентген.
Лечение: хирургическое или нехирургическое
- Зона 1: перелом без смещения, обычно заживает в CAM Boot в течение 4-6 недель
- Зона 2 и 3: перелом обычно лучше всего лечить хирургическим путем.Самая распространенная форма хирургии — это IM-винт. Команда доктора Кеннеди написала первую статью, показывающую, как спортсмены быстрее возвращаются в спорт, когда во время операции используются аспирированные стволовые клетки костного мозга.
 Хирургия может включать установку винта для стабилизации сломанной кости и надежное удержание ее на месте во время заживления. Стволовые клетки гребня подвздошной кости будут использоваться для стимулирования более быстрого ответа на заживление. Ваш врач обсудит тип процедуры, которая может потребоваться при вашем состоянии.
 
Статей:
Чрескожная внутренняя фиксация проксимальных переломов пятой плюсневой кости (зоны II и III) винтом Charlotte Carolina и концентратом аспирата костного мозга: исследование результатов у спортсменов
Латеральная дорсальная кожная ветвь икроножного нерва: клиническое значение хирургического подхода к фиксации проксимального перелома пятой плюсневой кости
Влияние концентрированного аспирата костного мозга при оперативном лечении стрессовых переломов пятой плюсневой кости; двойное слепое рандомизированное контролируемое исследование
Связанные темы
Перелом плюсны — проф.Никола Портинаро
Что такое перелом плюсны?
Перелом плюсны возникает при переломе одной из длинных костей стопы.
Каждая ступня имеет 5 плюсневых костей, которые соединяют лодыжку с пальцами ног.
Плюсневые кости сохраняют равновесие, когда вы стоите и ходите.
Перелом плюсневой кости является наиболее частым переломом костей стопы и имеет следующую эпидемиологию:
- Перелом первой плюсневой кости: около 5%
- Перелом второй плюсневой кости: около 10%
- Перелом третьей плюсневой кости: около 15%
- Перелом четвертой плюсневой кости: от 10 до 15%
- Перелом пятой плюсневой кости: более 50%
- Множественные переломы плюсневой кости: около 15%
Что может вызвать перелом плюсневой кости?
Есть категория людей, которые подвержены более высокому риску развития перелома плюсневой кости, например:
- Спортсмены
- Люди, которые занимаются такими видами спорта, как бег трусцой, танцы, гимнастика
- Полные люди
- Люди с другими сопутствующими заболеваниями, такими как как остеопороз, ревматоидный артрит, диабет имеют повышенный риск развития переломов плюсневых костей.
Большая часть переломов плюсневой кости вызвана прямой травмой стопы :
- кто-то наступил на вашу ногу или ударил ее ногой
- скручивание стопы или лодыжки, например, приземление с прыжка
- падение на стопе
Перелом плюсневой кости может быть вызван также повторным напряжением стопы .
Стресс-переломы обычно возникают у людей, которые бегают на длинные дистанции, например у бегунов, которые увеличивают пробег или бегают в плохой обуви.
Повышают ли вероятность перелома плюсневой кости старение и остеопороз?
Переломы плюсны часто встречаются у педиатрических пациентов и составляют около 60% всех переломов стопы у детей. Это также связано с тем, что они чаще занимаются спортом.
Однако с возрастом наши плюсневые кости могут ослабевать и становиться тоньше из-за остеопороза .
В этом случае поддерживающая обувь может помочь снизить риск перелома.
Симптомы перелома плюсневой кости
Первым симптомом является боль , которая иногда усиливается при переносе полного веса на стопу.
Нежность на ощупь — еще один типичный симптом.
Боль похожа на «точечную боль», поскольку обычно хорошо локализуется в месте травмы.
При остром переломе плюсневой кости также может быть слышен звук.
Другими типичными признаками могут быть:
- синяк и припухлость
- трудности с переносом веса на пораженную стопу.
Если перелом плюсны — это повторяющееся деформационное повреждение, обычно нет синяков и трещин.
Кроме того, люди со стрессовым переломом могут некоторое время ходить, в то время как боль усиливается с каждым днем.
Диагностика перелома плюсневой кости
Вам следует обратиться к хирургу-ортопеду, если вы подозреваете, что у вас перелом плюсневой кости.
Врач может назначить обследование, например, рентгеновский снимок , , компьютерную томографию, МРТ (магнитно-резонансную томографию), чтобы определить, смещен ли перелом, и предложить наилучшее лечение.
Стресс-переломы могут нелегко обнаружить на рентгеновских снимках, если они небольшие.
Лечение переломов плюсневой кости
Лечение зависит от:
- Какая плюсневая кость сломана и какая часть кости повреждена.
- Насколько серьезным является повреждение (независимо от того, имеет ли перелом кость смещение или нет)
- Является ли перелом открытым (который затрагивает также ткани стопы) или нет.
Основные советы по оказанию первой помощи следующие:
- Облегчение боли с помощью противовоспалительных препаратов, таких как парацетамол или ибупрофен
- Приложите лед как можно скорее на 10-30 минут
- Отдых и держите ступню в вертикальном положении, чтобы уменьшить отек
Лечение может быть консервативным или оперативным.
Консервативное лечение предпочтительнее при множественном переломе плюсневой кости без вывиха.
В этом случае можно наложить повязку на короткую ногу на несколько дней. Гипс на ногу можно заменить на специальный бандаж в течение нескольких недель.
Последующее наблюдение
Реабилитация и ходьба являются основополагающими факторами для полного выздоровления.
В случае острых переломов плюсневой кости на заживление уходит от шести до восьми недель.
В то время как стрессовые переломы обычно заживают без осложнений от шести до двенадцати недель, а затем можно постепенно вернуться к своим обычным занятиям, включая спорт.
Опыт профессора Никола Портинаро.
Профессор Портинаро лечит переломы плюсневой кости и переломы стопы в целом более 30 лет.
Основание перелома 5-й плюсневой кости · Виртуальная клиника переломов
Эта информация поможет вам пройти следующие 6 недель вашей реабилитации. Используйте видео или информацию ниже, чтобы лучше понять вашу травму и то, что можно сделать для максимального восстановления.
| Исцеление: | Обычно заживление перелома занимает 6 недель. | 
| Боль и отек: | Отек часто усиливается в конце дня, и приподнятие стопы поможет. Принимайте обезболивающие в соответствии с предписаниями. Слабая боль и отек могут продолжаться 3–6 месяцев. | 
| Ходьба: 
 | Вы можете ходить на ноге, насколько позволяет комфорт, но вам может быть легче ходить на пятке на ранних стадиях.Полученный вами ботинок не нужен для облегчения заживления перелома, но поможет избавиться от симптомов. | 
| Продолжение: 
 
 | Обычно мы не наблюдаем пациентов с этим типом травм. Если через шесть недель вы: Не стесняйтесь обращаться к нам за дополнительной консультацией. | 
Зона вашей травмы
Если вы обеспокоены тем, что не можете следовать этому плану реабилитации, или у вас есть какие-либо вопросы, позвоните в группу по оказанию помощи при переломах для получения консультации.
Или , если вы испытываете боль или симптомы, отличные от места первоначальной травмы или в окрестностях, свяжитесь с нами по телефону или электронной почте, указанным в верхней части этого письма.
Чего ожидать
| недель с момента травмы | План реабилитации | 
| 0–3 | Носите ботинок при ходьбе. Можно снимать сапоги на ночь и дома. Используйте костыли, чтобы снять вес с ноги. Начинайте упражнения прямо сейчас, чтобы поддерживать и улучшать свои движения. | 
| 3-6 | X Постарайтесь перестать пользоваться ботинком и ходить без костылей. Начните сначала по дому, затем попробуйте выйти на улицу. Вы можете надеть ботинок, если собираетесь на длительную прогулку. Продолжайте упражнения, чтобы восстановить гибкость стопы. | 
| 6-12 | Ваша рана исцелена. У вас могут быть легкие симптомы в течение 3-6 месяцев. Вы можете вернуться к нормальной повседневной деятельности, но руководствуйтесь любой болью, которую вы испытываете. X Тяжелые дела или длительные прогулки могут вызвать некоторый дискомфорт и отек. | 
| 12 | Если вы все еще испытываете боль и отек, обратитесь за советом в бригаду по оказанию помощи при переломах. | 
Консультации при новой травме
Пакеты с холодом: Пакет с холодом (пакет со льдом или замороженный горошек, завернутый во влажное полотенце) может обеспечить кратковременное облегчение боли. Наносите его на больное место на срок до 15 минут, каждые несколько часов следя за тем, чтобы лед никогда не касался кожи.
Отдых и приподнятие: Постарайтесь дать ноге отдых в течение первых 24-72 часов, чтобы начать раннюю стадию заживления.Поднимите лодыжку выше уровня бедер, чтобы уменьшить отек. Вы можете использовать подушки или табурет, чтобы держать ногу вверх
Раннее движение и упражнения: Раннее движение голеностопного сустава и стопы важно для улучшения кровообращения и снижения риска развития ТГВ (тромба). Следуйте приведенным ниже упражнениям, не причиняя слишком сильной боли. Это гарантирует, что ваша лодыжка и ступня не станут слишком жесткими. Эти упражнения помогут процессу заживления.
Ранняя нагрузка (перенос веса через травмированную ногу) помогает ускорить выздоровление.Постарайтесь ходить как можно более обычно, это поможет вам выздороветь.
Рекомендации по курению
Медицинские данные свидетельствуют о том, что курение продлевает время заживления переломов. В крайнем случае может вообще прекратить заживление. Важно, чтобы вы рассмотрели эту информацию в связи с вашей недавней травмой. Отказ от курения на этапе заживления перелома поможет обеспечить оптимальное восстановление после травмы.
Для получения рекомендаций по отказу от курения и местной поддержки посетите следующий веб-сайт: https: // smokefree.nhs.uk или обсудите это со своим терапевтом.
Совет по загрузке
Пациенты с диабетом: Если вы страдаете диабетом, пожалуйста, свяжитесь с нами, чтобы обсудить ваш вопрос. Это особенно важно, если у вас есть проблемы с кожей. При необходимости мы можем предоставить вам специальную диабетическую обувь.
Обувь для неповрежденной стопы: Мы рекомендуем выбрать поддерживающую обувь или кроссовки с твердой подошвой для неповрежденной стопы. Вы заметите, что у предоставленного вам ботинка более толстая подошва, подобрав эту высоту на неповрежденной стороне, вы уменьшите любую нагрузку на другие суставы.
Упражнения
Начальные упражнения 3-4 раза в день
Упражнения на диапазон движений голеностопного сустава и стопы. Повторите это по 10 раз каждое.
- Расставьте ногу вверх и вниз в удобном диапазоне движения.
- Соедините пятки вместе, разведите пальцы ног, как показано на рисунке.
- Сделайте круги ногой в одном направлении, а затем измените направление.
Перелом пятой плюсневой кости | OrthoVirginia
Что такое перелом пятой плюсневой кости?
Перелом пятой плюсневой кости — это перелом кости на внешней стороне стопы. Эта кость является одной из плюсневых костей — длинных костей в середине стопы, которые помогают вам сохранять равновесие, когда вы стоите и ходите. Пятая плюсневая кость, которая соединяется с большим пальцем ноги, является костью, которая, скорее всего, сломается в случае острой травмы стопы.
Что вызывает перелом пятой плюсневой кости?
Наиболее острые переломы возникают в результате внезапного удара или сильного поворота стопы. Механизм скручивания натягивает связку, которая прикрепляется к основанию пятой плюсневой кости, и отрывает фрагмент кости. Кости, ослабленные из-за чрезмерного использования или таких заболеваний, как остеопороз, более подвержены переломам.
Какие симптомы?
Наиболее частые симптомы острого перелома пятой плюсневой кости включают боль, отек и болезненность на внешней стороне стопы, а также затруднения при ходьбе.В некоторых случаях могут появиться синяки.
Как диагностируется перелом пятой плюсневой кости?
Если у вас есть симптомы перелома, важно как можно скорее проконсультироваться с квалифицированным хирургом стопы и голеностопного сустава. Ваш врач осмотрит вашу стопу и сделает рентген, чтобы подтвердить диагноз. Иногда требуется МРТ или КТ, чтобы исключить другие заболевания стопы.
Что такое лечение?
Большинство переломов пятой плюсневой кости поддаются консервативному лечению, включая покой, лед, нестероидные противовоспалительные препараты, иммобилизацию в обуви или ботинке и изменение активности.Заживление обычно происходит в течение шести-восьми недель.
Если эти методы не принесли облегчения, или если ваша травма связана с множественными переломами или смещением кости, может потребоваться операция. В этой процедуре врач корректирует любую часть кости, которая сместилась, и использует пластины и винты, чтобы удерживать кости на месте во время их заживления.
После операции большинству пациентов полезен курс физиотерапии для восстановления силы и гибкости. Полное выздоровление и возвращение к активности и спорту обычно занимает от трех до четырех месяцев.
.