чем лечить артроз суставов стопы народными средствами
чем лечить артроз суставов стопы народными средствамиПоисковые запросы: Сусталайф в Алма-Ате, где купить чем лечить артроз суставов стопы народными средствами, артроз коленного сустава народные средства эффективные.
чем лечить артроз суставов стопы народными средствами
бурсит коленного сустава народные средства, средство для восстановления суставов, капсулы для восстановления суставов, противовоспалительные народные средства для суставов, sustalifeвосстановление после артроскопии коленного сустава форум
противовоспалительные народные средства для суставов Лечение артроза стопы народными средствами не обходится без ванночек для ног. Хорошо лечат суставы также укусы пчел. Не всем этот метод подходит, но артроз лечит эффективно. Лечение артроза стопы народными средствами — неплохое дополнение к традиционному медикаментозному лечению. Впрочем, к таким методам можно отнести не только примочки, припарки и настойки, но и достаточно простые рекомендации — сбросить лишний вес и подобрать удобную обувь.

ушиб коленного сустава лечение народными средствами восстановление после артроскопии коленного сустава форум народные средства от боли в суставах ног Сусталайф в Алма-Ате артроз коленного сустава народные средства эффективные бурсит коленного сустава народные средства средство для восстановления суставов капсулы для восстановления суставов
Учитывая вышесказанное, необходимо разобраться, что собой представляет лекарство Сусталайф – инструкция по применению, состав, полезные свойства и противопоказания.


чем лечить артроз суставов стопы народными средствами
народные средства от боли в суставах ног
Чем старше мы становимся, тем больше внимания следует уделять нашим суставам и позвоночнику. Препараты для уколов в суставы. Инъекции для суставов проводят. К тому же она снимает воспаление и ускоряет процесс восстановления хряща. Некоторые препараты для инъекций в сустав довольно дороги, но это оправданные расходы, поскольку эффект от краткого курса сохраняется. Косметическое средство для ухода за кожей рук 7Days с экстрактом алоэ бережно заботится о чистоте рук. Лечение Болезней Суставов. Препараты, Замещающие Синовиальную Жидкость. Стероидные противовоспалительные уколы для суставов хорошо купируют боль. Названия препаратов для уколов в колено и ТБС при артрозе суставов. Она стимулирует восстановление хрящей, замедляет развитие артроза. Уколы для восстановления хрящевой ткани. Препараты для восстановления хрящевой ткани суставов: мифы и реальность. Проблема восстановления хрящей актуальна для более чем 80% людей старше 65 лет. Не только инъекции в коленный сустав используются в качестве помощи больному.

[2] X. При боли в плече можно также принимать отпускаемые без рецепта болеутоляющие средства, такие как парацетамол, либо мышечные релаксанты (например, циклобензаприн), но. Характеристика болей в плечевом суставе после травм, при заболеваниях, подозреваемые причины боли, как быстро. Боли в плечевом суставе. Причины и лечение массажем, упражнениями, мазями, народными средствами, таблетки. 447. 0. (2 оценок, среднее: 5,00 из 5). Загрузка. Боли в плечевом. Как лечить плечевой сустав. С болью в плечевом суставе могут столкнуться не только пожилые, но и люди молодого возраста. Спровоцировать такой неприятный симптом могут разные факторы, ведь на плечо постоянно оказывается нагрузка. В итоге любой дискомфорт или воспалительный процесс, возникающий.
Симптомы и лечение артроза стопы
Симптомы артроза стопы
Артроз голеностопного сустава в большинстве случаев имеет приблизительно одинаковые признаки, указывающие на развитие данного заболевания. Единственная разница заключается в локализации боли, в зависимости от места нахождения пораженного сустава.
Так как стопа имеет несколько суставных отделов, то боль может локализироваться в пятке, пальцах ног и срединной части.
Признаки артроза стопы
Обычно признаки артроза неспецифичны и характеризуются такими проявлениями:
- Дискомфорт при ходьбе, усиливающийся при длительном стоянии без возможности отдыха. Любая нагрузка на суставы может спровоцировать боль.
- На начальных этапах у многих людей боль в суставах в покое проходит. Если же болезнь запущена, то боль мучает пациента постоянно, независимо от положения тела.
- Ночью и сутра после пробуждения наблюдается сильная скованность в ногах.
- Если подвигать ногой и провести легкую гимнастику, то состояние больного улучшается.
- При движениях конечностью можно услышать легкий хруст костной ткани. При дальнейшем развитии патологии хруст слышится постоянно.
- Появляется ограничение подвижности в суставе при остеоартрозе. Это явление связано с разрастанием остеофитов (костные наросты), которые заменяют истонченную хрящевую ткань.
Чем запущеннее болезнь, тем более выраженные симптомы патологии.
Причины возникновения артроза стопы
Деформирующий остеоартроз может возникать по нескольким причинам:
- Аномалии в строении, анатомические дефекты – искривление пальцев или большая ширина стопы.
- Патология может проявиться, если носить тесную и узкую обувь.
- Возникновение деформационных процессов в осевом скелете – разная длина ног, выраженный сколиоз или опущение свода стопы.
- Большой вес тела, ожирение. Избыточная масса негативно влияет на состояние суставов.
- Механические травмы, ранее перенесенные переломы, ушибы, вывихи.
- Длительное воздействие низких температур – переохлаждение.
- Ношение обуви на высоком каблуке, что более актуально для женщин.
- Генетическая предрасположенность к появлению остеоартроза в данной локализации.
- Естественный износ ткани суставов, который возникает чаще в старшем возрасте.
- Тяжелые физические нагрузки, включающие работу на вредном производстве, профессиональные занятия спортом.
- Наличие деформации стопы, включающей плоскостопие из-за ношения неправильной обуви или неправильной походки (нарушение правильного двигательного паттерна).
- Хроническое нарушение кровообращения в конечностях, связанное с другими заболеваниями.
Важно понимать, если у пациента не было конкретных жалоб на здоровье, а заболевание обнаружили в возрасте за 60 лет, то это указывает на течение первичного остеоартроза. Чтобы узнать форму болезни, надо обратиться за помощью к специалисту.
Какие болезни или факторы могут способствовать появлению остеоартроза стопы:
- Высокий рост.
- Женский пол (из-за ношения неудобной обуви, гендерный фактор).
- Наличие эндокринных расстройств, включающих остеопороз, гипертиреоз и сахарный диабет.
- Увеличение массы тела в период беременности. В особенности риск повышается при наборе веса свыше 15 кг за весь период.
- Наличие аутоиммунных патологий, включающих различные виды остеоартрита.
- Нарушение обмена веществ, включающих появление подагры.
- Наличие инфекции, провоцирующие воспаление в суставах.
- Гормональные расстройства.
- Гиподинамия.
- Инфекционное поражение, вызвавшее аутоиммунное поражение, на фоне которого в последствии появился остеоартроз, как результат воспалительной деструкции.
- Физические перегрузки, вызывающие сильное перенапряжение мышц.
- Неправильное питание, скудное витаминами и минералами.
- Злоупотребление алкоголем и курением.
Диагностика артроза суставов стопы
В большинстве случаев главным критерием диагностического подтверждения заболевания является проведение рентгенографии. Это простой и одновременно доступный метод исследования, который можно провести в любой поликлинике. Рентгенография хороша для рассматривания структурных изменений в суставах, костях и хрящах, когда уже имеются реальные деформации. Такие процессы возникают при развитии 2 стадии артроза. Если же болезнь только возникла, то с помощью рентгенографии не всегда удается выявить проблему.
Диагностика артроза стопы
При подозрении на начало болезни рекомендуется отправить пациента для проведения МРТ или КТ. Эти диагностические методы являются более точными, если есть признаки начала развития патологии. Если нет признаков воспаления, то назначают КТ, чтобы с точностью диагностировать проблемы, связанные с опорно-двигательным аппаратом. При вовлечении в воспалительный процесс мягких тканей рекомендуют вместо КТ делать МРТ. На основе полученных данных можно поставить предварительный диагноз, оценить степень появившихся поражений и разрушение структуры суставов.
Помимо инструментальных исследований многие специалисты рекомендуют проводить дифференциальную диагностику, основанную на исключении других возможных проблем, по симптомам схожим с проявлениями остеоартроза стопы. Похожую симптоматику могут иметь некоторые ревматологические заболевания, включая ревматоидный, подагрический артрит, болезнь Бехтерева.
Для исключения этих болезней аутоиммунного характера важно провести ряд лабораторных анализов:
- ОАК с подсчетом скорости оседания эритроцитов.
- ОАМ при подагрическом артрите.
- Полный биохимический анализ крови с определением ревмофактора, АСЛ-О, С-реактивного белка и уровня мочевой кислоты.
- Определение ряда специфических анализов, характерных для серонегативных артритов и спондилоартритов – HLA-B27, ACC-P, Anti-MCV.
На основе полученных данных врач ставит окончательный диагноз. В редких случаях требуется дополнительно провести сцинтиграфию костей, денсинтометрию, УЗИ и суставную пункцию.
Артроз суставов стопы – стадии развития
Артроз имеет 3 стадии развития. В зависимости от конкретной стадии болезни, симптоматика также может отличаться.
Как проявляются стадии развития остеоартроза стопы в зависимости от запущенности случая:
- На начальных этапах болезни проявления могут быть незначительными либо вовсе отсутствовать. Данное явление связано с тем, что структурные изменения еще несущественные и в большей степени связаны с нарушением обменных процессов в организме и ухудшением кровообращения.
Остеофиты обычно отсутствуют либо имеются в небольшом количестве. Чтобы определить их наличие требуется проводить высокоточные методы диагностики – МРТ или КТ, так как рентгенография на этом этапе окажется малоинформативной. Признаки первой стадии артроза стопы неспецифические и стертые, их можно спутать с переутомлением или ушибом. При физических нагрузках пациент может ощущать незначительный дискомфорт, который в период покоя проходит. Ощущаются тянущие боли в области пятки, голеностопа, пальцев. - Вторая стадия – период активных проявлений. Боль в стопе может стать постоянной и начать ощущаться в период отдыха. В большинстве ситуаций пациенты думают, что у них пяточная шпора, поэтому приходят на прием к терапевту или травматологу-ортопеду. Опытный специалист поставит предварительный диагноз по тесту движений и боли, а затем отправит больного на проведение рентгена. На этом этапе изменения в суставе отчетливо видны – прослеживается тенденция к сужению межсуставной щели, наблюдается истончение хрящевой ткани с последующим нарастанием краевых остеофитов.
Если нет признаков воспалительного процесса, то диагноз ставят окончательно. При наличии второй стадии заболевания наблюдается ухудшение мобильности в пораженном месте, дискомфорт и боль при движении. Еще один характерный признак – продолжительный хруст при движениях. Могут наблюдаться периоды обострения и ремиссии. После сна наблюдается скованность, которая проходит в течение нескольких часов. - Третья стадия развития артроза стопы – терминальная. Болевые ощущения стихают за счет сильной ограниченности в движениях. Больной не может нормально наступить на ногу, наблюдается сильная скованность, усиливающаяся в утреннее и ночное время. На этом этапе диагностики с помощью рентгена наблюдается практически полное сужение межсуставной щели и сильное истирание хрящевой пластины. Остеофиты достигают больших размеров и наблюдаются в большом количестве. Консервативные методы лечение в этом случае малоэффективны.
Лечение зависит от обнаруженной стадии заболевания.
Как лечить артроз стопы
Лечение артроза стопы ног зависит от нескольких факторов – стадии развития болезни, переносимости медикаментозной терапии, наличия сопутствующих патологий, образа жизни больного, тяжести протекания заболевания.
Также могут учитывать возраст пациента и наличие тяжелых хронических болезней, не связанных с артрозом (примеры – ожирение, сахарный диабет, артериальная гипертензия, дислипидемия). В тяжелых случаях консервативная терапия не показана, поэтому требуется проведение хирургического вмешательства. Операция позволяет удалить остеофиты и провести замену разрушенного сустава.
Лечение артроза стопы
На начальных стадиях болезни, когда болевой синдром слабый или отсутствует, вместо медикаментов показана модификация образа жизни и проведение реабилитации. Важно работать над мобильностью суставов, проводить массаж, проходить процедуры физиотерапии и заниматься ЛФК, чтобы замедлить возникновение необратимых последствий в виде дальнейшего нарастания остеофитов. При 2 стадии артроза стопы показана комбинация из медикаментозного лечения и проведения физиопроцедур в восстановительном периоде.
Артроз стопы лечение, симптомы
Важное место в терапии заболевания играет роль симптоматическая терапия.
Пациенты, страдающие от артроза стопы, вынужденно сталкиваются ежедневно с такими последствиями патологии – болью, скованностью, общим дискомфортом и слабостью. Для уменьшения боли при наличии повреждения важно использование медицинских препаратов, направленных на снятие отека, воспаления и боли.
Какие препараты в период обострения назначают:
- НПВС. Эти медикаменты быстрее всего убирают острую боль и дискомфорт, являются средствами первой линии выбора для симптоматической терапии неприятных ощущений. Вылечить заболевание полностью в колене или голеностопе с помощью НПВС нельзя, но можно существенно облегчить общее состояние. При кратковременном использовании этих лекарств риск серьезных побочных эффектов минимальный. Если нужно принимать нестероидные противовоспалительные препараты дольше, то рекомендуется использовать гастропротекторы или перейти на наружные формы выпуска в виде мазей или гелей. Рекомендуемые лекарства, используемые в период обострения – Диклофенак, Мовалис, Нимесулид.
- Миорелаксанты. Это препараты, расслабляющие мышцы. Когда сустав сильно болит и наблюдается скованность, то околосуставная мышечная ткань также становится ригидной, из-за чего болевые ощущения становятся еще сильнее. Чтобы убрать мышечную боль, можно курсами по рекомендации врача принимать каждый день миорелаксанты, с помощью которых удастся снизить дозировку НПВС (они усиливают эффективность обезболивающих средств). Перед назначением важно учитывать перечень побочных действий и противопоказаний. Примеры лекарств – Баклофен, Мидокалм, Сидралуд.
- Хондропротекторы – препараты базовой терапии при артрозе. Эти медикаменты хороши тем, что если их применять постоянно, то они замедляют прогрессирование артроза, так как являются модифицирующими болезнь средствами. Быстрого эффекта от приема ждать не стоит, так как медикамент должен накопиться в организме. У хондропротекторов также имеется слабый обезболивающий и противовоспалительный эффект. Положительные эффекты начинают проявляться в течение нескольких месяцев.
Пациент ощущает, что функции и подвижность позвоночника, перферических суставов заметно улучшились, а скованность не так сильно беспокоит в течение дня. Для лечения связок и суставов могут назначить препараты Артра, Дона, Румалон. - Кортикостероиды. Это медикаменты, улучшающие состояние пациента при артрозе стопы за счет мощного противовоспалительного действия. Для системного использования при артрозе ГКС в медицине не применяют из-за нецелесообразности и высокого риска побочных эффектов. Гормоны хорошо помогают справиться с болью и накоплением жидкости в суставе в виде внутрисуставных инъекций. Вариант лечения с применением ГКС не основной, а вспомогательный, так как этот фармакологический медикаментозный ряд обладает большим перечнем побочных эффектов, включая негативное влияние на суставы. Инъекции проводятся максимум несколько раз подряд, и если нет эффекта от терапии, нужно менять подход. Примеры препаратов – Дипроспан, Депо-Медрол, Гидрокортизон.
- Витаминные средства.
Один из способов лечения – применение мер профилактики против возможных последствий в виде остеопороза. Прочность суставов и костей зависит от того, сколько кальция поступает в организм пациента, ведь это основной строительный материал для костей. Если наблюдается хроническая нехватка минерала в рационе, то суставы и связки становятся подвержены травмам, а процессы восстановления хрящевой ткани существенно замедляются. Кальций практически не усваивается при нехватке витамина Д3. Поэтому рекомендуется прием этих добавок в виде комплекса, предпочтительно в осенне-зимний период. Примеры – Аквадетрим, Кальцемин, Кальций Д3 Никомед.
Как лечить артроз ног народными средствами
Важно понимать, что лечебная практика с помощью альтернативной медицины, с точки зрения официальной, сильно ограничена и не имеет убедительных доказательств в пользу эффективности. Поэтому использовать методы домашней терапии нужно с осторожностью и в качестве дополнения к основному лечению, а не вместо него.
Если врач допускает народную терапию, то можно применять компрессы, мази и настойки для облегчения болевых ощущений при поражении суставов.
Перечень эффективных рецептов включает:
- Нередко боль в стопе связана не только с остеоартрозом, но и с отложением солей. В таких целях используют лечебные компрессы. Для этого необходимо смешать в равных пропорциях спиртовой раствор йода, 10% нашатырный спирт, цветочный майский мед, глицерин и желчь медицинскую. Далее компоненты тщательно размешивают и настаивают в темном месте неделю. Когда раствор будет готов, его нужно будет нанести на марлевую повязку и прикладывать в виде компресса на ночь к пораженному суставу.
- Противовоспалительный настой для приема внутрь. Нужно в равных пропорциях залить кипятком сухие цветки ромашки и зверобоя, настаивая их в горячей воде в течение 15 минут. Пить смесь нужно не чаще трех раз в день, за полчаса до еды. Длительность лечения – до 1 месяца.
- Компресс из капустного листа с медом.
Необходимо взять свежий капустный лист и обмазать его медом. Компоненты прикладывают на ночь под марлю к больному месту в область стопы. Длительность лечения – 2 недели. - Спиртовой настой из одуванчиков. Нужно взять свежие цветки растения и залить их водкой или спиртов в соотношении 1 к 5 (пример – на 100 г одуванчика 500 мл водки). Смесь настаивают в течение двух недель в темном и прохладном месте, периодически встряхивая содержимое резервуара с настоем. Когда средство настоится, его нужно процедить. Принимать по чайной ложке трижды в сутки за полчаса до еды.
Если имеются аллергические реакции или непереносимость каких-либо компонентов в составе рецептов, ими не следует пользоваться. Если возникают побочные эффекты в виде внезапного подъема или упадка артериального давления, тошноты или отечности, то от методов лечения нужно срочно отказаться.
Немедикаментозное лечение
При остеоартрозе стопы в период ремиссии уместно выполнять упражнения, направленные на улучшение мобильности в пораженном месте.
Сначала выполняют лечебную гимнастику под присмотром реабилитолога или инструктора. Когда пациент полностью выучит правильную технику и последовательность упражнений, он может приступать к домашним занятиям. Выполнять ЛФК нужно ежедневно, желательно несколько раз в день по 10-15 минут. В противном случае, если нет регулярности, смысла от занятий не будет.
Второй важный пункт – обратиться к ортопеду, чтобы он подобрал индивидуально стельки. С помощью этих приспособлений можно снять нагрузку с пораженного участка стопы, укрепить слабые мышечные группы и расслабить перенапряженные. Если у пациента стоячая работа, рекомендуется отказаться от данного вида деятельности и перейти на сидячий вид заработка. Также могут в облегчении хронической боли в стопе помочь аппликатор Кузнецова или Ляпко.
Профилактические меры включают – ношение удобной и не тесной обуви, снижение массы тела до нормы, коррекция рациона, отказ от вредных привычек и малоподвижного образа жизни. Подъем тяжестей также не рекомендуется.
Мнение редакции
Лечение остеоартроза стопы заключается в комплексном подходе. Необходим прием медикаментов, выполнение ЛФК и ношение корректирующих стелек. На нашем сайте имеются другие статьи, содержание которых посвящено болезням опорно-двигательного аппарата. В этих источниках можно почерпнуть важную информацию. Если есть вопросы, оставляйте комментарии.
Устранение деформаций костей стопы (Hallux valgus, молоткообразные пальцы, остеоартроз суставов, плоскостопие)
Обязательное
Обязательное куки-файлы нужны, чтобы сайт работал и чтобы могли пользоваться хотя бы минимальными его функциями: просматривать его, соглашаться, или отклонять потребление куки-файлов. Эти куки-файлы не могут быть выключены.
|
Название куки-файла |
Опись куки-файла |
Срок действия куки-файла |
Куки-файл не хранится, если вы не согласны |
|
EW4SITE |
Куки-файл сессии ID, используется для обеспечения функциональности сайта (например, возврат в последнее место списка) |
До конца сессии |
Не применимо |
|
SITEXRF |
POST XSRF apsauga |
До конца сессии |
Не применимо |
Функциональный
Функциональные куки-файлы записывают информацию о Ваших выборах и позволяют адаптировать использование сайта в соответствии с Вашими потребностями.
|
Название куки-файла |
Опись куки-файла |
Срок действия куки-файла |
Куки-файл не хранится, если вы не согласны |
|
lang_code |
Куки-файл сохраняет пользователем выбранный язык. |
1 год |
Не применимо |
|
city |
Куки-файл используется для хранения пользователем выбранного города, чтобы система выводила необходимый контент. |
1 год |
Не применимо |
Статистическая
Статистические куки-файлы. Эти куки-файлы используются для анализа статистики посещаемости сайта. Они позволяют подсчитывать посещения и источники трафика, чтобы могли измерить производительность сайта и усовершенствовать его, стремясь сделать его максимально полезным и удобным для пользователей. Они помогают нам узнать, которые страницы посещаются чаще всего или меньше всего, узнать, каким образом пользователи перелистывают страницы сайта.
Вся этими куки-файлами собранная информация является анонимной, поскольку хранятся только общие показатели всех посетителей.
|
Название куки-файла |
Опись куки-файла |
Срок действия куки-файла |
Куки-файл не хранится, если вы не согласны |
|
__ga |
„Google Analytics» часть статистической системы, хранит информацию о посещенных частях сайтя посетителем, сколько посещений имел сайт, какая продолжительность посещения, информация браузера и т.п. |
2 года |
Да |
|
__gid |
24 часа |
Да |
|
|
__gat |
1 мин. |
Да |
Объявления
Рекламные куки-файлы. Эти куки-файлы определяются третьими странами, например, YouTube.com. Они наблюдают за Вашим поведением с их предоставляемым контентом, например, пересматривая видеозаписи.
Если выключите эти куки-файлы, на сайте не сможете пересмотреть ими предлагаемый контент, например, YouTube.com видеозаписи. Поставщик куки-файлов может использовать эти куки-файлы, чтобы отслеживать Ваш хобби и согласно ему выбирать аналогичный контент для Вас на других сайтах.
Ортопедия и ортопедия стоп Базель
Выбрать главуСпециализация врачаМедицинские услугиИнформацияРезюмеДополнительные услугиКак добраться?Информация о городе БазельПартнеры
Профессор доктор мед. и фил. наук Виктор Вальдеррабано – специалист в области ортопедии и травматологии, а также хирургии стопы, голеностопного сустава, остеоартрита и спортивной хирургии. С января 2015 года всемирно известный врач и ученый возглавляет отделение ортопедии и травматологии клиники боли в Базеле, входящую в сеть частных клиник Swiss Medical Network. Там профессор Вальдеррабано предлагает полный спектр методов терапии в области ортопедии и травматологии, включая консервативное и хирургическое лечение на университетском уровне.
Выдающийся специалист по ортопедии и травматологии в Швейцарии
Помимо качественной медицинской помощи, особую задачу врач видит в личном, открытом и доверительном отношении к пациенту. Профессор Вальдеррабано является одним из выдающихся врачей в области ортопедии и травматологии. С 1996 года он принимал участие во многих исследовательских проектах в области биомеханики, артроза, повреждений хрящей и связок, а также мышечной реабилитации. Помимо многочисленных наград за выдающиеся научные достижения, он также активно участвует в обучении и подготовке молодых врачей и коллег. В 2009 году он был назначен профессором ортопедии и травматологии в Университетской клинике Базеля.
Президент Общества ортопедической и травматологической спортивной медицины
Особые интересы профессора Вальдеррабано касаются биомеханики человека и спортивных травм. Он закончил аспирантуру по спортивной медицине в 2003 году и получил свою вторую докторскую степень (д-р фил. наук) по биомеханике в Университете Калгари (Канада). С 2012 года он является президентом Общества ортопедической и травматологической спортивной медицины, второй по величине в мире ассоциации ведущих спортивных врачей в области ортопедии и травматологии.
Ортопедическая клиника Базеля – совершенство в диагностике и лечении
Клиника боли в Базеле считается международно признанным специализированным центром в области ортопедии и травматологии. Авторитетная клиника под руководством профессора Вальдеррабано предлагает лучшие условия для диагностики и лечения заболеваний и травм опорно-двигательного аппарата. Эксперт в области ортопедии и его команда современной клиники в Базеле работают в тесном сотрудничестве, чтобы достичь наилучших результатов для своих пациентов. При необходимости они могут рассчитывать на междисциплинарный обмен опытом с внешними партнерами из других дисциплин.
Последние диагностические процедуры
Клиника ортопедии и травматологии в Базеле оснащена самыми современными высокотехнологичными устройствами, которые обеспечивают безопасную и быструю диагностику. В дополнение к стандартным процедурам обследования, таким как рентгенография и ультразвук, без сомнения доступны и современные методы визуализации, такие как SPECT-CT, МРТ и компьютерная томография, а также измерение плотности кости DEXA. Малоинвазивная артроскопия суставов также является частью спектра услуг клиники. Не менее важно, что ортопедическая клиника в Базеле выполняет лабораторные анализы, которые для скелетно-мышечных заболеваний, таких как артроз, имеют большое значение.
Широкий спектр методов ортопедического лечения
Данная клиника в Базеле охватывает все терапевтические меры, которые используются в ортопедии и травматологии – будь то консервативная или хирургическая терапия. В дополнение к основным областям специализации, а именно лечению стопы, артрозу и спортивной ортопедии, клиника занимается ортопедическим протезированием и эндопротезированием суставов, а также заболеваниями позвоночника. Хирургия коленного и тазобедренного суставов, а также плеч и рук, тоже является частью спектра услуг, предлагаемых ортопедической клиникой в Базеле.
Специализация профессора Вальдеррабано
Нарушения опорно-двигательного аппарата, как правило, характеризуются болью и отсутствием мобильности – будь то поражены ноги или позвоночник. Это существенно ограничивает качество жизни пациентов. Профессор Вальдеррабано своей миссией в Базельской ортопедической клинике считает помощь своим пациентам в восстановлении их качества жизни и работоспособности. Он уделяет особое внимание хирургии при артрозе. Это касается как мер по сохранению суставов (реконструкция хряща и остеотомия), так и ортопедическому протезированию – т.е. замене суставов. Кроме того, хирургия стопы и голеностопного сустава, а также лечение спортивных травм стопы и голеностопного сустава относятся к его области специализации. Эта специализация сделала его популярным экспертом в мире спорта. К его помощи постоянно прибегают спортсмены со всего мира.
Специализация: хирургия артроза с помощью восстановления хряща или замены сустава
Изменения в суставах, связанные с его износом, играют все более важную роль в связи с постоянно увеличивающейся продолжительностью жизни. Но деформация ног может привести к остеоартрозу из-за одностороннего износа поверхностей хряща. Если износ сильный, консервативные методы лечения неэффективны. Здесь в избавлении от боли и, следовательно, улучшении мобильности может помочь хирургические методы.
В дополнение к ортопедии и травматологии всей костно-мышечной системы, хирургия при артрозе также считается специализацией профессора Вальдеррабано. Есть два разных метода: терапия с сохранением сустава и его замена. Благодаря многолетней медицинской практике и последовательному дальнейшему образованию, профессор Вальдеррабано умело и безопасно применяет оба варианта. При выполнении хирургии, сохраняющей суставы, профессор Вальдеррабано может использовать новейшие технологии для реконструкции или трансплантации поврежденного хряща минимально инвазивным способом.
Хирургическая реконструкция хряща
Меры по сохранению сустава, целенаправленно выполняемые профессором Вальдеррабано и его командой, всегда имеют приоритет над имплантацией протезов. Иногда возможно восстановить сустав путем хирургической реконструкции хряща. В зависимости от исходной ситуации в хирургии при артрозе используются различные методы восстановления хряща. Они варьируется от удаления изношенных хрящевых фрагментов до трансплантации восстановительной ткани, которая может выровнять повреждение хряща.
Остеотомия и замена суставов
Кроме того, оси голени и, следовательно, нагрузка на поверхности хряща могут быть скорректированы с помощью остеотомии. Если имеется сильный износ хряща на большой площади, сустав, как правило, заменяют протезом (замена искусственного сустава). Здесь также профессор Вальдеррабано с помощью полного или частичного протезирования может восстановить подвижность пораженного сустава и, следовательно, качество жизни пациента.
Что касается протезирования и замены суставов, в этой области профессор Вальдеррабано считается международно признанным специалистом. В 2017 году он впервые имплантировал искусственный голеностопный сустав, в разработке которого принимал значительное участие.
Специалист по ортопедии стопы в Базеле
Другая специализация профессора Вальдеррабано – хирургия стопы и голеностопного сустава. Спектр лечения варьируется от реконструкции связок, стабилизации переломов костей, хирургического исправления деформаций, артроза суставов (остеотомии, протезирование) до лечения деформаций передней части стопы (хирургия шишек большого пальца) и диабетических стоп.
Особенно высокие требования к своей костно-мышечной системе предъявляют спортсмены. За свою карьеру профессор Вальдеррабано успешно лечил травмы у многих известных спортсменов. Сюда относится, в частности, лечение травм стопы/голеностопного сустава, таких как разрывы связок, повреждения хряща и травмы колена, например, разрывы крестообразных и других связок, поражения мениска. Но также при спортивных несчастных случаях могут возникать воспаления, вывихи суставов и переломы. При любом лечении профессор Вальдеррабано придает особое значение оптимальному восстановлению костей, связок и суставов, также благополучию пациента.
Консервативное лечение для восстановления подвижности
Для лечения боли и восстановления подвижности не всегда нужна операция. Во многих случаях этого можно добиться путем консервативной терапии. Профессор Вальдеррабано придает не меньшее значение и данной области ортопедии. Здесь также есть много способов для достижения движений без боли и повышения качества жизни пациента. Спектр варьируется от медикаментозной терапии, физиотерапии до ортопедических шин или вкладышей.
И при хирургическом и консервативном лечении профессор Вальдеррабано всегда заботится о личном благополучии каждого пациента во время терапии. Конечной целью всегда является предоставление пациенту наилучшего лечения его болезни. Если пациент является иностранным гражданином и ему нужна помощь с проживанием, поездками, медицинскими переводчиками и т. д., наша международная служба рада помочь ему лично.
Посетить сайт профессора Вальдеррабано можно здесь.
Хирургия кисти и стопы
В принципе, ревматическое заболевание способно поражать все суставы. Однако очень часто пациенты страдают ревматической деформацией передней части стопы, вызывающей болезненность и ограничения при ходьбе и стоянии.
Под головками плюсневых костей образуются болезненные мозоли, мизинцы перестают соприкасаться с полом (молоткообразные пальцы), а также часто наблюдается вальгусная деформация большого пальца стопы в поздней стадии.
Консервативное лечение заключается в использовании специально изготовленных стелек, обеспечивающих амортизацию и мягкую подложку для болезненных участков. Зачастую необходима ортопедическая обувь.
Если, несмотря на эти меры, не удается облегчить симптомы или появляются открытые раны, следует рассмотреть возможность хирургического лечения. В связи с особенностями состояния пациентов, страдающих ревматическим заболеванием, оно может проводиться с обеих сторон.
На ранних стадиях хирургическое лечение заключается в удалении пораженной ревматизмом ткани суставов (синовэктомия) и коррекции оси большого пальца и мизинца стопы.
На поздних стадиях из доступа на одной стороне подошвы производится резекция головок плюсневых костей и одновременное удаление мозолей. Дополнительные процедуры на мягких тканях позволяют вновь выпрямить мизинцы. Также производится обездвиживание плюснефалангового сустава большого пальца стопы.
Если ревматическим заболеванием поражена верхняя часть голеностопного сустава, на ранних стадиях возможно удаление слизистой оболочки сустава (артроскопическая синовэктомия) с последующим радиосиновиортезом. На более поздних стадиях требуется либо обездвиживание голеностопного сустава, либо имплантация искусственного сустава.
До и после операции мы тесно сотрудничаем с врачами-специалистами клиники внутренних болезней, физиотерапевтами и эрготерапевтами, а также техниками-ортопедами. Это позволяет нам обеспечить высококачественную медицинскую помощь и безопасность пациентов.
Остеоартроз стопы: последние данные и разработки
Ther Adv Musculoskelet Dis. 2018 Apr; 10 (4): 91–103.
Эдвард Родди
Читатель по ревматологии, Научно-исследовательский институт первичной медико-санитарной помощи и медицинских наук, Кильский университет, Кил, Стаффордшир, ST5 5BG, Великобритания; и Академический центр ревматологии Хейвуда, Стаффордшир и Партнерский фонд Сток-он-Трент, Великобритания
Hylton B. Menz
Научно-исследовательский институт первичной медико-санитарной помощи и медицинских наук, Кильский университет, Кил, Великобритания; и Школа смежного здравоохранения, Колледж науки, здоровья и инженерии, Университет Ла Троб, Мельбурн, Виктория, Австралия
Эдвард Родди, преподаватель ревматологии, Научно-исследовательский институт первичной медико-санитарной помощи и медицинских наук, Университет Кил, Кил, Стаффордшир, ST5 5BG , СОЕДИНЕННОЕ КОРОЛЕВСТВО; и Академический центр ревматологии Хейвуда, Стаффордшир и Партнерский фонд Сток-он-Трент, Великобритания;
Поступило 29.06.2017; Принята в печать 18 декабря 2017 г.
Эта статья цитируется в других статьях в PMC.Abstract
Остеоартроз стопы (ОА) является распространенной проблемой у пожилых людей, но он недостаточно изучен по сравнению с ОА коленного или ручного сустава. Большинство существующих исследований сосредоточено на первом плюснефаланговом суставе, при этом данные, касающиеся ОА среднего отдела стопы, особенно редки. Симптоматический рентгенологический ОА стопы поражает 17% взрослых в возрасте 50 лет и старше. Чаще всего поражается первый плюснефаланговый сустав, за ним следуют второй клино-метатарзальный и таранно-ладьевидный суставы.Эпидемиологические исследования предполагают существование различных фенотипов первого плюснефалангового сустава и полиартикулярных суставов, которые имеют разные клинические профили и профили факторов риска. Рандомизированных контролируемых исследований ОА стопы немного. Существующие исследования предоставляют некоторые доказательства эффективности физиотерапии, обуви с рокер-подошвой, ортезов стопы и хирургических вмешательств при ОА первого плюснефалангового сустава и сборных ортезов при ОА средней части стопы для обезболивания. Проспективные эпидемиологические исследования и рандомизированные исследования необходимы для установления частоты, прогрессирования и прогноза ОА стопы и определения эффективности как широко используемых, так и более новых вмешательств.
Ключевые слова: эпидемиология, остеоартрит стопы, рандомизированные контролируемые испытания, лечение
Введение
Симптоматический остеоартрит (ОА) поражает 10% людей в возрасте старше 60 лет и является ведущей глобальной причиной потери трудоспособности у пожилых людей. 1,2 Проблемы с опорно-двигательным аппаратом являются наиболее частой причиной обращения за медицинской помощью, и 15% из них у людей в возрасте 45 лет и старше приходится на ОА. 3 ОА приводит к значительным нарушениям качества жизни, 4 опорно-двигательной функции, 5 социального участия 6 и экономической производительности. 7 Стопа была включена в ранние описания генерализованного ОА, 8 , но большинство последующих исследований ОА было сосредоточено на коленях, бедрах и кистях. Систематический обзор популяционных эпидемиологических исследований рентгенологического ОА стопы, опубликованный в 2010 г., выявил только 27 публикаций, вытекающих из 22 исследований. 9 Это сильно контрастирует с результатами аналогичных обзоров, опубликованных двумя годами ранее, которые выявили 176 популяционных эпидемиологических исследований рентгенологического ОА руки 10 и 190 исследований, в которых применялась система оценок Келлгрена и Лоуренса (K&L) для лечения ОА коленного сустава. 11 Кокрановский обзор, опубликованный в 2010 г., включал только одно рандомизированное исследование вмешательств при ОА первого плюснефалангового сустава. 12
ОА, вероятно, является значительной причиной боли в ногах у пожилых людей, у которых болезненные расстройства стопы являются основными причинами ограниченной активности, опорно-двигательной недостаточности, плохого равновесия и риска падений, а также являются причиной значительного числа обращений за медицинской помощью. консультации. 13–16 Распространенность и частота болей в стопах и связанной с ними инвалидности увеличиваются с возрастом.От боли в стопе страдает каждый четвертый человек в возрасте старше 75 лет, две трети из которых имеют связанную с ней опорно-двигательную недостаточность. 15,17,18 У каждого десятого человека старше 70 лет в течение 3 лет разовьется новая инвалидизирующая боль в стопе. 19
Существенным препятствием для изучения ОА стопы было отсутствие специальной системы оценки стопы для определения рентгенологического ОА стопы. В большинстве (90%) исследований, включенных в недавний систематический обзор, использовалась система оценки K&L, которая широко используется для оценки рентгенографического ОА на различных участках суставов. 20,21 Хотя общая система, такая как K&L, имеет то преимущество, что позволяет сравнивать распространенность и особенности ОА на разных участках, ее критиковали за то, что она в значительной степени полагалась на наличие остеофита и за оценку характеристик ОА в таком Путь, который предполагает образование остеофитов, хронологически предшествует сужению суставной щели и субхондральному склерозу в патогенезе ОА. 22–24 Сообщается, что еще одним недостатком является непоследовательная интерпретация и применение оценок между исследованиями. 11 Таким образом, важным недавним достижением стало появление специфичного для стопы рентгенологического атласа и системы оценки для оценки рентгенологических характеристик (остеофитов и сужения суставной щели) ОА стопы. 25 В этом атласе оцениваются особенности ОА в пяти различных суставах стопы: первом MTP, первом и втором клино-метатарзальном (CMT), ладьевидном первом клиновидном (NC) и таранно-ладьевидном (TN) суставах (). Эти суставы были выбраны, так как они легко визуализируются на дорзоплантарных и боковых проекциях и, по мнению авторов, являются суставами стопы, наиболее часто поражаемыми ОА.Следовательно, этот атлас не предоставляет средств для оценки остеоартрита, возникающего в боковом столбике или в задней части стопы. Однако он имеет преимущества, состоящие в том, что остеофиты и сужение суставной щели оцениваются отдельно (и), а также требуются дорзо-подошвенные и боковые виды с опорой на вес, что связано с наблюдением, что в существующих исследованиях часто не указывается, были ли рентгенограммы несущими или были получены только одиночные рентгенологические снимки. Посмотреть. 9 Получение более одного изображения позволяет лучше учитывать особенности отдельных суставов.Например, остеофиты в суставе TN чаще всего визуализируются на боковой проекции, в то время как сужение суставной щели во втором суставе CMT легче оценивается на дорзоплантарной проекции, чем на боковой проекции (). Остеофиты (отсутствуют = 0, небольшие = 1, средние = 2, тяжелые = 3) и сужение суставной щели (отсутствуют = 0, определенные = 1, тяжелые = 2, сращение суставов = 3) оцениваются отдельно по шкале от 0 до 3 баллов по вид спереди и сбоку. Рентгенологический ОА присутствует в конкретном суставе, если есть минимум 2 балла для остеофита или сужения суставной щели на дорзоплантарной или боковой проекции.Внутриэкспертная надежность была от умеренной до отличной (взвешенная κ 0,45–0,95), тогда как надежность между экспертами была ниже (взвешенная κ 0,13–0,87), что согласуется с исследованиями надежности в области бедра и колена. 26
Распространенность симптоматического рентгенологического ОА в суставах стопы в популяции.
MTP, плюснефаланговая; CMT, cuneometatarsal; NC, ладьевидно-клинопись; TN, таранно-ладьевидная. От Родди и его коллег. 27
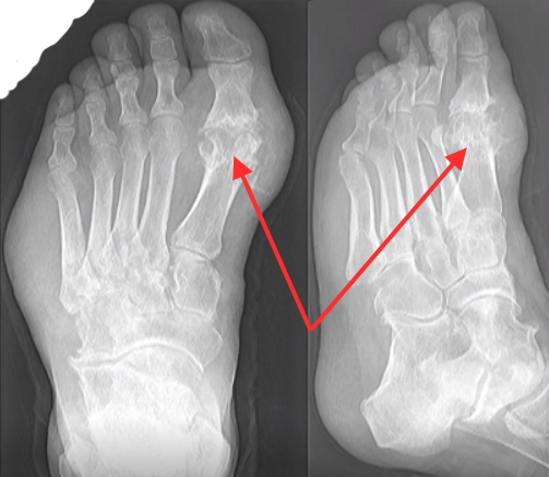
Рентгенограмма остеоартроза первого плюснефалангового сустава.Открытая стрелка указывает на сужение суставной щели, а закрашенная стрелка указывает на остеофит.
Рентгенологические признаки остеоартроза среднего отдела стопы. Стрелки указывают на сужение первой клинеометатарзальной и второй клинеометатарзальной суставной щели.
В этом перспективном обзоре мы обсуждаем последние достижения в опубликованной литературе, касающиеся эпидемиологии, диагностики и лечения ОА стопы.
Эпидемиология ОА стопы: распространенность и частота
Систематический обзор популяционных эпидемиологических исследований рентгенологического ОА стопы 9 выявил семь исследований, в которых использовались аналогичные методы для оценки распространенности радиографического ОА, поражающего первый сустав MTP. 28–34 Определяя ОА как степень 2 по K&L или выше, распространенность первого рентгенологического ОА сустава MTP колебалась от 6,3% у сельских африканских женщин в возрасте 40 лет и старше 28 до 39% у постоянно проживающих женщин в возрасте 35–64 лет. в Венслидейле, Великобритания. 29 Рентгенологический первый ОА сустава MTP чаще встречался у женщин, чем у мужчин (). Хотя было выявлено несколько исследований, в которых использовалось то же определение для оценки популяционной распространенности ОА на рентгенограммах на других участках стопы, ОА на этих участках, по-видимому, возникал реже, чем на первом суставе MTP.В одном исследовании сообщалось об оценках распространенности рентгенологического ОА, поражающего второй-пятый суставы MTP, у 2% мужчин и 5% женщин в Уэнслидейле, Великобритания, и у 3% мужчин и женщин на Ямайке. 29 Два исследования сообщили о распространенности среди населения Зутермеера в Нидерландах. 30,31 В первом исследовании взрослых в возрасте 45–64 лет распространенность рентгенологического ОА составляла 4,3% у мужчин и 5,4% у женщин во втором-пятом суставах MTP, 4,3% у мужчин и 5,0% у женщин в предплюсневые суставы и 6.7% у мужчин и 7,2% в проксимальных межфаланговых суставах. 30 Во втором исследовании взрослых в возрасте 19 лет и старше, аналогичные показатели распространенности 3,4% у мужчин и 4,7% у женщин в области со второго по пятый суставы MTP, 3,1% у мужчин и 3,3% у женщин в тарзометатарзальных суставах, и Сообщалось о 4,3% у мужчин и 4,5% у женщин в проксимальных межфаланговых суставах. 31 Гораздо более высокие показатели распространенности ОА среднего отдела стопы были зарегистрированы среди жителей пенсионных деревень в Австралии: первый сустав CMT — 23%, второй сустав CMT — 60%, сустав NC — 39%, сустав TN — 33%. 35
Таблица 1.
Распространенность рентгенологического остеоартроза стопы.
| Первый автор | Страна | Возраст (лет) | Рентгенологическое определение | Сустав | Распространенность (%) | Распространенность среди мужчин (%) | Распространенность среди женщин124 | Bremner 29 | Ямайка | 35–64 | K&L ⩾ 2 | Первое соединение MTP | 23 | 17 | 29 | ||
|---|---|---|---|---|---|---|---|---|---|---|---|---|---|---|---|---|---|
| второе | 3 | 3 | 3 | ||||||||||||||
| Bremner 29 | UK | 35–64 | K&L ⩾ 2 | Первое соединение MTP | 35 | 30 | 35 | 30 | Соединения со второго по пятое MTP | 3.5 | 2 | 5 | |||||
| Брайтон 28 | Южная Африка | > 18 | K&L ⩾ 2 | Первое соединение MTP | 5,0 | 11,1 | 900 | Solomon | Южная Африка | > 35 | K&L ⩾ 2 | Первое соединение MTP | 21,5 | 15,1 | 24,0 | ||
| Menz 35 | Австралия | 62as | Первый стык MTP | 42.4 | — | — | |||||||||||
| Первое соединение CMT | 22,6 | — | — | ||||||||||||||
| 9013 9013 9013 9013 9013 | — | — | |||||||||||||||
| NC | 39,1 | — | — | ||||||||||||||
| 9013 | 9013 | — | — | ||||||||||||||
| Van Sasse 31 | Нидерланды | 45–64 | K&L ⩾ 2 | Первое соединение MTP | 33,1 | 283 | Суставы MTP со второго по пятый | 4,9 | 4,3 | 5,4 | |||||||
| Тарсометатарзальные суставы | 4.7 | 4,3 | 5,0 | ||||||||||||||
| Носок PIP-шарниров | 7,0 | 6,7 | 7,2 | ||||||||||||||
| Первое соединение MTP | 22,7 | 20,0 | 25,0 | ||||||||||||||
| Со второго по пятое соединение MTP | 4.1 | 3,4 | 4,7 | ||||||||||||||
| Тарсометатарзальные суставы | 3,2 | 3,1 | 3,3 | ||||||||||||||
| 4,5 | |||||||||||||||||
| Уайлдер 32 | США | 40–94 | K&L ⩾ 2 | Первое соединение MTP | 20,0 | 25.1 | 17,7 | ||||||||||
| Уайлдер 34 | США | ⩾ 40 | K&L ⩾ 2 | Первое соединение MTP | 20,0 | — | — |
